ВВЕДЕНИЕ
Лечение пациентов с терминальной стадией хронической почечной недостаточности (ХПН) остается серьезной проблемой в системе здравоохранения стран всего мира и, несмотря на весь комплекс проводимых мероприятий, количество данных пациентов неуклонно возрастает [1–3]. В мире от данной болезни ежегодно умирают примерно 1,2 миллиона человек, а смертность от ХПН за десятилетие в среднем увеличилась на 31,7% [4].
Наиболее эффективным методом заместительной почечной терапии, которую вынуждены получать пациенты, страдающие терминальной стадией ХПН, является трансплантация донорской почки (от посмертного или живого донора) [5–6]. Данный метод является «золотым стандартом» лечения, увеличивает общую выживаемость реципиентов и улучшает качество их жизни в сравнение с альтернативными методами лечения, включающими гемодиализ и перитонеальный диализ [7–10].
Пациенты с трансплантированной почкой (ТП) нуждаются в проведении постоянной иммуносупрессивной терапии, которая является ведущим фактором риска развития злокачественных новообразований у реципиентов солидных органов [11]. Проводимые в мире исследования показывают повышенный риск развития почечно-клеточного рака (ПКР) у реципиентов почки при сравнении с пациентами без трансплантации, с частотой его возникновения 0,5–2,36% [12–15]. Данная частота в десятки раз превышает соответствующий показатель для нетрансплантированной популяции, который, например, для Российской Федерации на 2023 год составлял 0,016% [16].
Следует отметить, что по данным проведенных исследований на ПКР ТП приходится всего около 10% выявленных случаев, тогда как 90% диагностируются в собственных почках реципиента [17–19]. Однако в настоящее время в трансплантологии отмечаются тенденции, которые могут привести к изменению соотношения случаев выявления рака между трансплантированной и собственными почками реципиента в сторону увеличения рака трансплантата. Это связано с тем, что, несмотря на неоспоримые преимущества трансплантации почки, на фоне растущей распространенности терминальной стадии ХПН одной из основных проблем является критическая нехватка донорских почек, доступных для трансплантации [20–23]. Так в Российской Федерации на 2020 год общее число пациентов, находящихся на заместительной почечной терапии составляло 60547 человек, зарегистрировано 9984 пациента с функционирующим почечным трансплантатом, а в листе ожидания трансплантации находилось свыше 6800 человек со средним сроком ожидания более 4,5 лет [24, 25]. В результате этого сложившийся дисбаланс между количеством реципиентов, нуждающихся в трансплантации почки, и количеством доступных донорских органов постоянно нарастает и значительно ограничивает возможности применения данного эффективного вида лечения ХПН [26, 27]. Это приводит к тому, что с целью увеличения пула донорских органов в мире отмечаются тенденции к снижению ранее применяемых жестких критериев отбора в отношении почечного трансплантата [28–30]. В качестве решения проблемы допускается использование в качестве пригодных, почек от пожилых доноров, которые ранее не подлежали трансплантации [31–33] и почек, в которых выявлена опухоль небольших размеров, подозрительная на рак [34–36].
Данная тенденция дополнительно повышает риски развития ПКР трансплантата, так как, в одном случае трансплантируется резецированная почка, в которой уже ранее выявлен рак, а в другом, в качестве донорской, используется почка от пожилого пациента, но при этом известно, что наибольшая частота встречаемости ПКР приходится именно на пациентов в возрасте старше 60 лет [28, 37]. В подтверждение этому за последние шесть лет отмечается более чем двукратное увеличение количества вновь выявленных в мире случаев рака ТП при сравнении метаанализа J.J. Griffith и соавт. от 2017 г. (163 случая) [19] и метаанализа F. Crocerossa и соавт. от 2023 г. (357 случаев) [17]. При этом, хирургическое лечение рака ТП, а в особенности, органосохраняющие операции, у данной категории пациентов представляет собой сложную задачу для хирургов, так как связаны с выраженными отличительными особенностями данного органа и риском его потери в случаи неудачной операции, которое приведет к необходимости возвращения к диализу [17, 38].
Стандартные нефрометрические бальные системы для оценки сложности резекции и риска интраи послеоперационных осложнений, созданные для операций на нативной почке, не адаптированы к ТП и по ряду параметров не всегда подходят для корректной оценки. Это и послужило причиной для разработки модифицированной для ТП нефрометрической шкалы, полностью отвечающей всем особенностям подобных вмешательств.
МАТЕРИАЛЫ И МЕТОДЫ
Произведен поиск научных публикаций в базах данных PubMed, Cyberlennika, eLibrary по ключевым словам: «трансплантированная почка», «резекция», «почечно-клеточный рак», «нефрометрическая шкала» («transplanted kidney», «resection», «renal cell carcinoma», «nephrometric scale»). Рассматривались публикации на русском и английских языках, публикации на других языках были исключены. В итоге было отобрано 59 публикаций, которые были включены в данный обзор. Клинический материал основан на анализе практического опыта, накопленного в ходе работы в урологическом отделении Городской клинической больницы №52 Департамента здравоохранения города Москвы. В период с 2013 по 2023 гг. были обследованы и прооперированы 31 пациент с ПКР ТП, из которых 28 пациентам выполнено органосохраняющее лечение в объеме лапароскопической резекции ТП. Все операции были стандартизированы и выполнены одной хирургической бригадой.
РЕЗУЛЬТАТЫ
Обзор существующих нефрометрических шкал
При резекции нативной почки в нетрансплантированной популяции используются различные нефрометрические шкалы с балльной оценкой. Данные шкалы активно применяются во всем мире при нефрон-сохраняющей хирургии, а их использование позволяет стратифицировать пациентов, подходящих для органосохраняющих операций, на подгруппы с различным риском осложнений [39-43]. В мире в различные периоды времени для этой задачи предложено достаточно много видов нефрометрических шкал, которые отличаются параметрами измерения, видом и количеством баллов. Основные из них мы рассмотрим ниже.
Одной из первых в 2009 году А. Kutikov и R. Uzzo предложена шкала R.E.N.A.L., которая на данный момент является наиболее известной и часто применяемой нефрометрической бальной системой для оценки сложности резекции почки и прогнозирования рисков возможных осложнений после выполнения органосохраняющей операции [44].
Также, в 2009 году V. Ficarra и соавт. создан алгоритм PADUA (Preoperative Aspects and Dimensions Used for an Anatomical classification of renal tumors), оценивающий каждый анатомический параметр и размер опухоли для оценки риска осложнений [39, 45]. Максимальное значение данной шкалы при резекции почки составляет 14 баллов, первые два параметра, по качественному и количественному признаку идентичны шкале R.E.N.A.L., однако следующие три параметра отличаются. Третий критерий – отношение опухоли к собирательной системе почки имеет максимальный балл равный 4 (в R.E.N.A.L. аналогичный показатель равен 3) и подразумевает не расстояние опухоли до собирательной системы, а вовлеченность синуса и смещение чашечно-лоханочной системы (ЧЛС), каждый из которых максимально оценивается в 2 балла. Вместо четвертого критерия, характеризующего переднюю или заднюю локализацию опухоли, не имеющего в R.E.N.A.L. собственного балла, а только добавляющего постфикс к полученной сумме баллов, в шкале PADUA оценивается максимально до 2-х баллов и рассматрвается латеральное или минимальной расположение. При этом в пятом критерии по сравнению с R.E.N.A.L. количество баллов уменьшено с 3 до 2 и вычисление происходит не в зависимости от пересечения полюсных линий, а просто в локализации опухоли в конкретном сегменте.
Далее в 2010 г. M.N. Simmons и соавт. предложили систему C-index (Centrality index), которая принципиально отличается от существующих R.E.N.A.L. и PADUA, так как в основе лежит метод количественной оценки близости опухоли почки к центральному синусу почки и оценивается только один параметр – взаиморасположение условного центра почки и центра опухолевого узла. Значение 0 индекса центральности соответствует опухоли, которая концентрична с центром почки, а 1 соответствует опухоли, периферия которой касается центра почки, затем по мере увеличения числового показателя индекса опухоль становится более удаленной от центра почки [46, 47].
Аналогичная, по принципу единого числового параметра в системе C-index, в 2014 г. разработана модель CSA (Contact Surface Area), основой которой является определение площади контакта опухоли с почечной паренхимой [48].
Учитывая активное внедрение малоинвазивных аблятивных методик при лечении ПКР, в рамках нефронсохраняющей хирургии в 2014 г. шкала R.E.N.A.L. была доработана для оценки опухолей небольших размеров и получила обозначение mR.E.N.A.L. (modified R.E.N.A.L.). Изменению подвергся только параметр переменной «R», для которого 3 см было рассчитано как оптимальное пороговое значение [49].
Дальнейшей эволюции со временем подверглась и вторая, из наиболее часто применяемых шкал, PADUA на основе которой ее авторами была создана новая нефрометрическая система SPARE (Simplified PАdua REnal). В данной шкале, по сравнению с исходной, уменьшено с шести до четырех количество оцениваемых параметров, среди которых сохранены такие критерии как размер опухоли, степень экзофитности, вовлечение синуса почки и локализация опухолевого узла. Авторы провели исследование, доказавшее схожую точность шкал PADUA и SPARE и предположили, что новая система может заменить исходный показатель PADUA для оценки сложности опухолей, подходящих для резекции почки [50].
Помимо представленных в мире существует множество нефрометрических шкал, например, DAP (2012 г.), NePhRO (2014 г.), АВС (2016 г.), однако на данный момент они не получили широкого применения [51–53].
Особенности хирургического лечения почечно-клеточного рака трансплантированной почки
Проведение радикального органосохраняющего лечения ПКР ТП оказывает важное влияние на выживаемость реципиентов, так как выполнение трансплантатэктомии в данном случае неизбежно приведет к необходимости возвращения к диализу или повторной трансплантации почки, что может негативно повлиять на выживаемость реципиента [54–56].
В отличие от этого, в случае выявления у реципиента злокачественного новообразования в нативных почках выполняется исключительно нефрэктомия [57].
Следовательно, во всех возможных случаях необходимо стремиться к сохранению функционирующей ТП, поэтому ряд исследователей справедливо сравнивают лечение реципиента по поводу опухоли ТП с соответствующим лечением по поводу ПКР единственной почки у нетрансплантированной популяции [13, 58, 59].
Следует отметить, что все существующие на данный момент в мире нефрометрические шкалы предназначены для применения исключительно при органосохраняющих операциях на нативных почках.
Однако, несмотря на то, что формально ТП сохраняет присущие для почки структуры, ее трансплантация приводит к выраженным отличительным особенностям хирургического лечения и соответствующим рискам. В связи с этим применение нефрометрических шкал, традиционно используемых для оценки нативных почек, становится затруднительным в контексте ТП.
Для раскрытия наиболее важных характеристик с точки зрения органосохраняющего лечения нативной и ТП, в целях разработки модифицированной шкалы рассмотрим основные их отличительные особенности.
Анатомически собственные почки располагаются в брюшной полости в забрюшинном пространстве, тогда как ТП находится в полости малого таза. В преобладающем большинстве случаев (при отсутствии ранее проведенных операций) нативная почка окружена неизмененной паранефральной клетчаткой и доступна для полной мобилизации, как по передней, так по задней поверхности. В отличие от этого, у ТП на этапе подготовки к пересадке полностью удаляется паранефральная клетчатка и в дальнейшем вокруг трансплантата развивается выраженный рубцовый процесс, усиливающийся механизмами борьбы организма реципиента с генетически «чужеродным» органом донора. Система кровоснабжения нативной почки представлена, как правило, одной артерией и веной достаточной длины, отходящими от аорты и нижней полой вены соответственно. При этом сосуды проходят в анатомически неизмененной клетчатке и их выделение не представляет трудностей, в отличие от коротких, проходящих в рубцово-измененных тканях, анастомозированных к подвздошным сосудам, артерии и вены трансплантата.
Таким образом, ТП представляет собой крайне сложный для органосохраняющего лечения орган, имеющий значительные отличительные особенности от собственных неизмененных почек. Это подтверждается крайне скудными публикациями в мировой литературе о резекции ТП, которые в своем большинстве не носят системный характер, а описывают единичные случаи обнаружения и лечения подобных опухолей.
На данный момент в мировой практике описано всего 357 успешных резекций ТП по поводу ПКР. Во всех случаях сложность резекции определялась по критериям классических нефрометрических шкал, таких как R.E.N.A.L., PADUA и C-index [17].
Учитывая, что данные нефрометрические шкалы исходно создавались для использования в оценке сложности резекции нативной почки, то в существующем виде они не подходят для корректного применения для ТП, а новых специализированных нефрометрических шкал для этих целей разработано не было. Данные обстоятельства послужили причиной для создания нефрометрической шкалы модифицированной для органосохраняющего лечения ТП.
Модифицированная нефрометрическая шкала R.E.N.A.L.-TK
В урологическом отделении государственного бюджетного учреждения «Городская клиническая больница №52 Департамента здравоохранения города Москвы» в период с 2013 по 2023 гг. были обследованы и прооперированы 31 пациент с ПКР ТП, из которых 28 пациентам выполнено органосохраняющее лечение в объеме лапароскопической резекции трансплантата. Данный опыт является одним из крупнейших наблюдений в мире и самым большим в Российской Федерации. При оценке резекции нативной почки наиболее часто используется шкала R.E.N.A.L. Для конкретного обозначения применительно к ТП к названию R.E.N.A.L. нами добавлена аббревиатура TK (Transplanted Kidney), таким образом, общее название предлагаемой нами шкалы: R.E.N.A.L.-TK.
Классическая нефрометрическая шкала R.E.N.A.L. основана на оценке 5 радиологических анатомических характеристик:
- (R)adius (максимальный диаметр опухоли).
- (E)xophytic/endophytic (экзофитный или эндофитный рост опухоли).
- (N)earness (близость расположения опухоли к собирательной системе почки или ее синусу).
- (A)nterior (a) / posterior (p) /not anterior or posterior (x) (расположение опухоли по передней, задней или не по передней или задней поверхности почки), при этом не оценивается в баллах.
- (L)ocation (расположение опухоли по отношению к полюсной линии).
Каждой переменной, кроме A, присваивается от 1 до 3 баллов, что дает в общей сложности 4 балла для наименее сложной и 12 баллов для наиболее сложной в отношении резекции почки опухоли. Сложность резекции классифицируется как низкая (индекс R.E.N.A.L. 4-6), умеренная (индекс R.E.N.A.L. 7-9) или высокая (индекс R.E.N.A.L. 10-12).
В предлагаемой нами модификации шкалы мы учли отличительные особенности, касающиеся резекции ТП, для создания бальной системы максимально отражающей сложность данного органосохраняющего лечения.
Учитывая важность критерия R (максимальный диаметр опухоли) мы сохранили данный критерий, однако изменили его числовой диапазон применимо к опухоли ТП. В классической шкале R.E.N.A.L. 1 балл соответствовал опухоли менее 4 см в диаметре, 2 балла – от 4 до 7 см, 3 балла более 7 см. В шкале R.E.N.A.L.-TK мы предлагаем следующее: 1 балл – опухоль менее 2 см в диаметре, 2 балла – от 2 до 4 см, 3 балла – более 4 см. Уменьшение числового диапазона проведено на основании собственного опыта резекции ТП, который свидетельствовал о неравнозначной сложности резекции трансплантированной и нативной почки при одинаковом размере опухоли, а также анализе существующих данных мировой литературы. Критерий E (экзофитный или эндофитный рост опухоли) сохранен в модифицированной шкале в неизмененном виде аналогично шкале R.E.N.A.L., как по баллам, так и по числовым значениям, так как данная характеристика является схожей для резекции ТП и нативной почки.
Критерий N, который для шкалы R.E.N.A.L. характеризует близость расположения опухоли к собирательной системе почки или ее синусу, претерпел изменения, так как при резекции ТП риски развития кровотечения связаны не только с повреждение крупных сосудов синуса почки, но и подвздошных сосудов, к которым анастомозированы почечные сосуды. В ряде случаев повреждение именно подвздошных сосудов, при расположении опухоли вблизи от них, в ходе проведения операции в условиях выраженного рубцового процесса представляет наибольшие риски, учитывая диаметр данных сосудов и сложности ушивания дефекта сосуда при его возникновении. Поэтому, принимая во внимание данную специфику, в критерий N введен параметр, характеризующий близость опухоли к подвздошным сосудам: 1 балл – более 0,5 см, 2 балла – менее или равно 0,5 см. При этом следует отметить, что параметр близости к синусу почки шкалы R.E.N.A.L. также является крайне важным и поэтому сохранен в данной системе, но максимальное количество баллов уменьшено до двух. Таким образом, изменение параметра N проведено по схожему со шкалой PADUA принципу, когда вместо одного измеряемого параметра для критерия, вводятся два.
Четвертый критерий A: (a) передняя поверхность / (p) задняя поверхность / (x) наружное ребро почки, ранее имевший только индекс, уточняющий локализацию опухоли на конкретной поверхности, но не имевший бальной оценки, получил баллы. Это сделано в связи с тем, что наибольшую трудность для мобилизации и резекции ТП ввиду рубцового процесса, рисков кровотечения и повреждения сосудов представляет именно задняя поверхность и ей соответственно присвоен наибольший балл. Таким образом, 1 балл соответствует расположению опухоли по передней поверхности, 2 балла – по наружному ребру почки, 3 балла – расположение по задней поверхности.
Последний критерий L (расположение опухоли по отношению к полюсной линии) был частично пересмотрен ввиду особенностей резекции ТП. В исходной шкале он характеризует расположение опухоли по отношению к полюсной линии и подразумевает одинаковый балл для идентичных по уровню пересечения линий опухолей верхней и нижней части почки. Однако в случае резекции ТП наибольшую сложность представляет локализация опухоли в нижнем сегменте в отношении интраоперационной кровопотери, длительности операции, риска повреждения сосудов и необходимости проведения незапланированной трансплантатэктомии, а расположение опухоли выше полюсных линий более доступно для резекции и характеризуется более низким риском осложнений. Следовательно, нами предлагается условное разделение почки на три области: верхнюю, среднюю и нижнюю – двумя линиями, условно проходящими по верхней и нижней границе ворот почки. 1 балл – соответствует локализации опухоли в верхней трети почки, 2 балла – средней трети, 3 балла – нижней. Таким образом, с точки зрения локализации опухоли, наиболее сложным является ее расположение в нижней трети на задней поверхности, а наименее сложным – передняя поверхность верхней трети, что будет отражено в сумме баллов, а не в прибавке индекса локализации, как в классической шкале.
Учитывая, что всем пяти переменным, присваивается от 1 до 4 баллов, шкала R.E.N.A.L.-TK дает в общей сложности 6 баллов для наименее сложной и 16 баллов – для наиболее сложной в отношении резекции почки опухоли в отличие от 4 и 12 баллов, соответствующих классической шкале R.E.N.A.L.
Сложность резекции трансплантированной почки классифицируется, как низкая (индекс R.E.N.A.L.TK 6-9), умеренная (индекс R.E.N.A.L.-TK 10-13) или высокая (индекс R.E.N.A.L.-TK 14-16) (табл. 1).
Клинический пример
Больной А. В возрасте 38 лет впервые было отмечено повышение уровня креатинина в крови до 620 мкмоль/л, диагностирован хронический гломерулонефрит, выявлена хроническая почечная недостаточность. В течение 2-х лет проводилась заместительная почечная терапия в виде гемодиализа, затем выполнена трансплантация почки от посмертного донора. В мае 2024 года при плановом ультразвуковом исследовании (УЗИ) трансплантированной почки выявлено объемное образование, подозрительное на опухоль. С целью уточнения диагноза дополнительно выполнена мультиспиральная компьютерная томография (МСКТ) брюшной полости и малого таза с контрастированием, которое также подтвердило наличие объемного образования в нижнем сегменте ТП размерами 3,4х2,7см, подозрительного на опухоль. В ходе дальнейшего дообследования данных за наличие отдаленных метастазов не выявлено и установлен предварительный диагноз: опухоль ТП II стадии.
Таблица 1. Модифицированная нефрометрическая шкала R.E.N.A.L.-TK для трансплантированной почки
Table 1. Modified nephrometric scale R.E.N.A.L.-TK for transplanted kidney
| Критерии Criterion |
1 балл 1 point |
2 балла 2 points |
3 балла 3 points |
|---|---|---|---|
| R (максимальный диаметр опухоли, см) R (maximum tumor diameter, cm) |
≤ 2 | > 2 но 4 < | ≥ 4 |
|
E (экзофитный или эндофитный рост опухоли) E (exophytic or endophytic tumor growth) |
≥ 50% эндофитный рост ≥ 50% endophytic growth |
< 50% эндофитный рост < 50% endophytic growth |
Полностью эндофитный рост Completely endophytic growth |
|
N (близость расположения опухоли к синусу почки и подвздошным сосудам, см) N (nearness the collecting system or sinus, cm) |
≤ 0,5 | > 0,5 | |
| ≤ 0,5 | > 0,5 | ||
| A (передняя/задняя поверхность/ наружное ребро) A (anterior/posterior surface/external costa) |
передняя поверхность front surface |
наружное ребрo external costa |
задняя поверхность posterior surface |
| L (расположение опухоли по отношению к полюсной линии) L (location of tumor in relation to the pole line) |
верхняя треть почки upper third of the kidney |
средняя треть почки middle third of the kidney |
нижняя треть почки lower third of the kidney |
В отношении данного пациента, учитывая опухоль ТП, применена модифицированная шкала R.E.N.A.L.-ТК. При измерении опухоли по данным МСКТ получены следующие показатели: дорсовентральный размер – 2,7 см, краниокаудальный – 3,4 см (рис. 1). Таким образом, при использовании классической шкалы R.E.N.A.L., данная опухоль имела бы 1 балл по критерию R (размер до 4 см), однако при применении модифицированной шкалы R.E.N.A.L.-ТК данный критерий соответствует двум баллам (от 2 см до 4 см), так как числовые характеристики критерия R ниже для ТП.

Рис.1. Больной А. Компьютерные томограммы пациента с образованием трансплантированной почки (критерий R): а – аксиальная проекция, б – коронарная проекция. Указан размер опухоли
Fig. 1. Patient A. Computer tomograms of a patient with a transplanted kidney formation (R criterion): a – axial projection, b – coronal projection. The tumor size is indicated
Учитывая, что критерий E сохранен в модифицированной шкале в неизмененном виде шкалы R.E.N.A.L., данная опухоль по обеим шкалам является полностью эндофитной и соответствует 3 баллам (рис. 2).
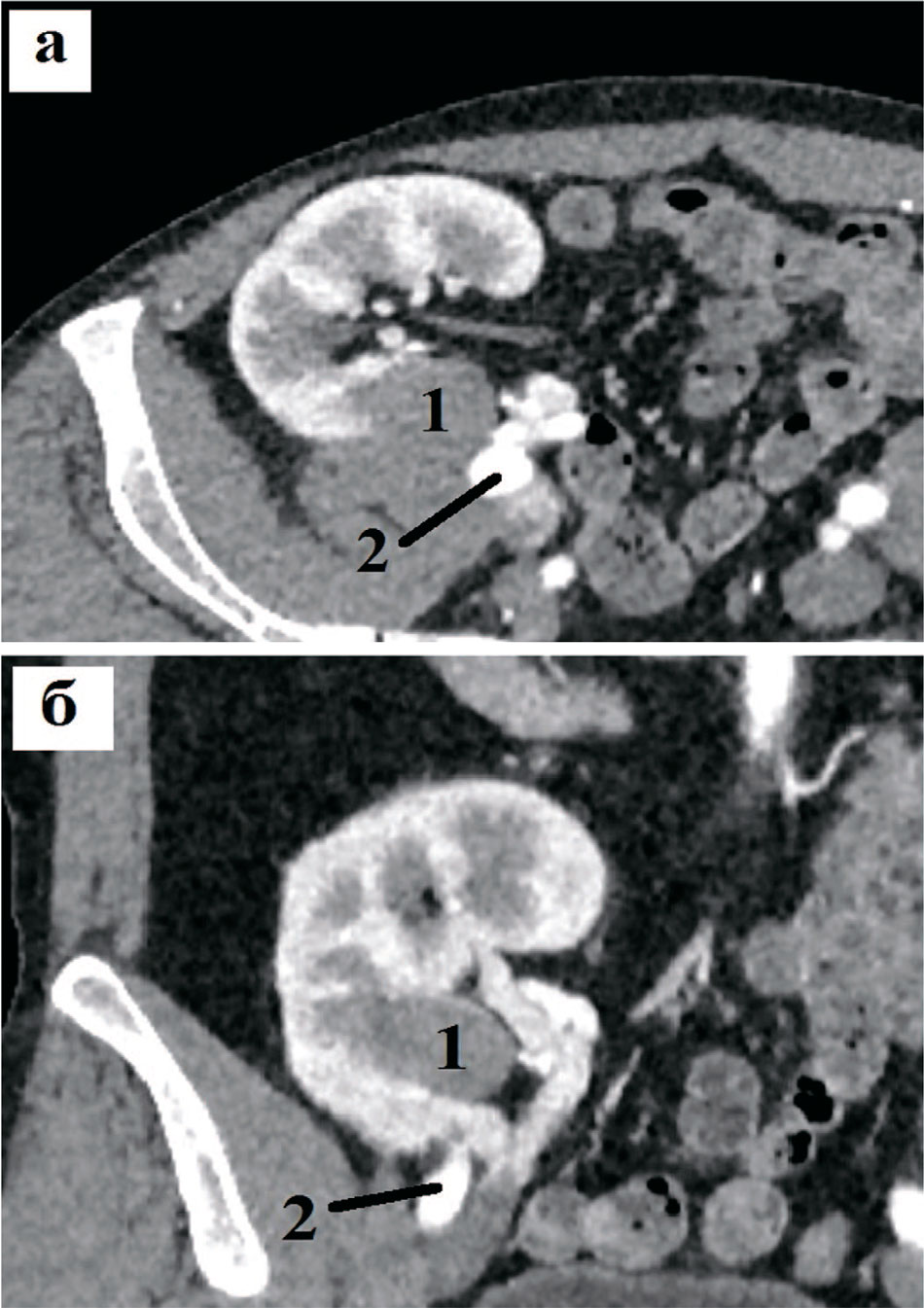
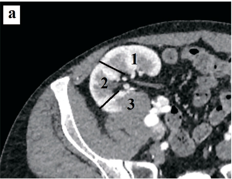
Минимальное расстояние от опухоли до ЧЛС ТП составляет 0,2 см, что соответствует 3 баллам по шкале R.E.N.A.L. и 2 баллам – по шкале R.E.N.A.L.ТК (рис. 3). По второму параметру критерия N модифицированной шкалы, характеризующему близость к подвздошным сосудам, данная опухоль имеет 2 балла, так как непосредственно прилегает к данным сосудам и, соответственно, имеет расстояние менее 5 мм (рис. 4). Таким образом, опухоль имеет максимальный балл по критерию N модифицированной шкалы, равный 4.
В данном случае критерий A в модифицированной шкале имеет 3 балла, так как опухоль расположена по задней поверхности, в зоне трудно доступной для резекции, тогда как в шкале R.E.N.A.L. для нативной почки у критерия А балл не определяется, а обозначается постфиксом (а, р, х или h) (рис. 5.).

Рис. 2. Пациент А. Компьютерные томограммы пациента с образованием трансплантированной почки (критерий Е): а – аксиальная проекция, б – коронарная проекция. Опухоль оконтурена сплошной линией, контур почки пунктирной линией
Fig. 2. Patient A.Computer tomograms of a patient with a transplanted kidney formation (criterion E): a – axial projection, b – coronal projection. The tumor is outlined by a solid line, the kidney outline by a dotted line

Рис. 3. Пациент А. Компьютерные томограммы пациента с образованием трансплантированной почки (критерий N): а – аксиальная проекция, б – коронарная проекция. Расстояние от опухоли до ЧЛС почки
Fig. 3.Patient A. Computer tomograms of a patient with a formation of a transplanted kidney (criterion N): a – axial projection, b – coronal projection. Distance from the tumor to the renal pelvic floor system

Рис. 4. Компьютерные томограммы пациента с образованием трансплантированной почки (критерий N): а – аксиальная проекция, б – коронарная проекция. Близость опухоли (1) к подвздошным сосудам (2)
Fig. 4. Computer tomograms of a patient with a formation of a transplanted kidney (criterion N): a – axial projection, b – coronal projection. Proximity of the tumor (1) to the iliac vessels (2)

Рис. 5. Пациент А. Компьютерные томограммы пациента с образованием трансплантированной почки (критерий A и L): а – аксиальная проекция, б – коронарная проекция. Разделение на поверхности: 1 – передняя, 2 – ребро почки, 3 – задняя. Разделение на сегменты: а – верхний, б – средний, в – нижний.
Fig. 5. Patient A. Computer tomograms of a patient with the formation of a transplanted kidney (criterion A and L): a – axial projection, b – coronal projection. Division into surfaces: 1 – anterior, 2 – kidney rib, 3 – posterior. Division into segments: a – upper, b – middle, c – lower
Последний критерий L также будет иметь максимальный балл 3, так как опухоль расположена в нижнем сегменте, представляющим значительную трудность для резекции в силу сложности при мобилизации из-за топографии и рубцового процесса (рис. 5). Тогда как в случае соответствующего расположения опухоли в нативной почке по шкале R.E.N.A.L. опухоль будет иметь наименьший балл 1, так как расположена ниже полюсных линий.
Таким образом, данная локализация опухоли ТП является наиболее сложной для резекции и имеет практически максимальный балл (15) из возможных 16 баллов по модифицированной шкале. При использовании же шкалы R.E.N.A.L суммарный балл составил бы 8, что соответствовало средней сложности резекции (от 7 до 9 баллов). Данный пример наглядно показывает возможную некорректность применения стандартных шкал в случае органосохраняющего лечения ТП ввиду выраженных различий при резекции нативной почки и трансплантированной.
В июне 2024 года выполнено хирургическое вмешательство в объеме лапароскопической резекции ТП. Продолжительность операции составила 140 минут, общий объем кровопотери 250 мл. На 1-е сутки послеоперационного периода пациент был активизирован, а на 2-е – удален страховой дренаж. Послеоперационный период без особенностей. Отмечен временный подъем креатинина до 180 мкмоль\л, однако в последующем показатели нормализовались. Гистология: папиллярный ПКР, хирургические края отрицательные.
Таким образом, применение шкалы R.E.N.A.L.TK на дооперационном периоде позволило правильно оценить сложности хирургического лечения у данного больного и успешно выполнить хирургическое вмешательство в объеме лапароскопической резекции ТП.
Разработанная нами шкала является экспериментальной, имеет малый опыт применения, обусловленный крайней редкостью патологии ПКР ТП и является попыткой адаптации существующей шкалы R.E.N.A.L. для органосохраняющего лечения ТП. В Московском клиническом научно-исследовательском центре больнице 52 Департамента здравоохранения города Москва данная шкала использована у 6 пациентов при органосохраняющем хирургическом лечении опухоли ТП и результаты ее применения обнадеживают. Ранее, до разработки данной шкалы для оценки сложности резекции почечного трансплантата применялась стандартная шкала R.E.N.A.L.
Учитывая вышеизложенные обстоятельства и малую выборку статистического материала, говорить об эффективности шкалы R.E.N.A.L.-ТК на данный момент времени пока еще затруднительно, поэтому предложенная модифицированная шкала подлежит дальнейшему изучению и доработке по мере накопления опыта ее применения.
ЗАКЛЮЧЕНИЕ
Органосохраняющее хирургическое лечение рака ТП имеет свои выраженные отличительные особенности по сравнению с соответствующим лечением нативной почки, что делает ее более сложной операцией с другим характерным спектром интраи послеоперационных осложнений. Применение адаптированных к специфике резекции ТП нефрометрических шкал может повысить эффективность их применения и будет способствовать улучшению результатов лечения.
ЛИТЕРАТУРА
- Elshahat S, Cockwell P, Maxwell AP, Griffin M, O'Brien T, O'Neill C. The impact of chronic kidney disease on developed countries from a health economics perspective: A systematic scoping review. PLoS One 2020;15(3):e0230512. https://doi.org/10.1371/journal.pone.0230512
- Sundstrom J, Bodegard J, Bollmann A, Vervloet MG, Mark PB, Karasik A, et al. Prevalence, outcomes, and cost of chronic kidney disease in a contemporary population of 2·4 million patients from 11 countries: The CaReMe CKD study. Lancet Reg Health Eur 2022;20:100438. https://doi.org/10.1016/j.lanepe.2022.100438
- Himmelfarb J, Vanholder R, Mehrotra R, Tonelli M. The current and future landscape of dialysis. Nat Rev Nephrol 2020;16(10):573-85. https://doi.org/10.1038/s41581-020-0315-4
- GBD 2015 Mortality and Causes of Death Collaborators. Global, regional, and national life expectancy, all-cause mortality, and cause-specific mortality for 249 causes of death, 1980-2015: a systematic analysis for the Global Burden of Disease Study 2015. Lancet 2016;388(10053):1459-544. https://doi.org/10.1016/S0140-6736(16)31012-1
- Lee HJ, Son YJ. Prevalence and Associated Factors of Frailty and Mortality in Patients with End-Stage Renal Disease Undergoing Hemodialysis: A Systematic Review and MetaAnalysis. Int J Environ Res Public Health 2021;18(7):3471. https://doi.org/10.3390/ijerph18073471
- Ying T, Shi B, Kelly PJ, Pilmore H, Clayton PA, Chadban SJ. Death after kidney transplantation: An analysis by era and time post-transplant. J Am Soc Nephrol 2020;31(12):2887-99. https://doi.org/10.1681/ASN.2020050566
- Musquera M, Sierra A, Diekmann F, Perez M, Mercader C, Peri L, et al. Increasing kidney grafts for transplantation. World J Urol 2021;39(7):2795-800. https://doi.org/10.1007/s00345-020-03463-x
- Tonelli M, Wiebe N, Knoll G, Bello A, Browne S, Jadhav D, et al. Systematic review: kidney transplantation compared with dialysis in clinically relevant outcomes. Am J Transplant 2011;11(10):2093-109. https://doi.org/10.1111/j.1600-6143.2011.03686.x
- Zhang L, Guo Y, Ming H. Effects of hemodialysis, peritoneal dialysis, and renal transplantation on the quality of life of patients with end-stage renal disease. Rev Assoc Med Bras (1992) 2020;66(9):1229-34. https://doi.org/10.1590/1806-9282.66.9.1229
- Swanson KJ, Bregman A, El-Rifai R, Jackson S, Kandaswamy R, Riad S. Second kidney transplant outcomes in dialysis dependent recipients by induction type in the United States. Transplant Proc 2023;55(7):1535-1542. https://doi.org/10.1016/j.transproceed.2023.04.041
- Huang B, Huang M, Zhang C, Yu Z, Hou Y, Miao Y, et al. Individual dynamic prediction and prognostic analysis for long-term allograft survival after kidney transplantation. BMC Nephrol 2022;23(1):359. https://doi.org/10.1186/s12882-022-02996-0
- Chewcharat A, Thongprayoon C, Bathini T, Aeddula NR, Boonpheng B, Kaewput W, et al. Incidence and mortality of renal cell carcinoma after kidney transplantation: A metaanalysis. J Clin Med 2019;8(4):530. https://doi.org/10.3390/jcm8040530
- Favi E, Raison N, Ambrogi F, Delbue S, Clementi MC, Lamperti L, et al. Systematic review of ablative therapy for the treatment of renal allograft neoplasms. World J Clin Cases 2019;7(17):2487-504. https://doi.org/10.12998/wjcc.v7.i17.2487
- Xu C, Geng H, Li Y, Sun F, Sun H, Zhang Y, et al. Incidence of renal cell carcinoma after solid organ transplantation: a systematic review and meta-analysis. BMC Urol 2024;24(1):11. https://doi.org/10.1186/s12894-023-01389-1
- Eggers H, Güler F, Ehlers U, Ivanyi P, Peters I, Grünwald V. Renal cell carcinoma in kidney transplant recipients: descriptive analysis and overview of a major German transplant center. Future Oncol 2019;15(32):3739-50. https://doi.org/10.2217/fon-2019-0397
- Алексеев Б.Я., Болотина Л.В., Бежанова С.Д,, Волкова М.И., Говоров А.В. и др. Клинические рекомендации. Рак паренхимы почки. Год утверждения 2023. 134 с. URL: https://oncology-association.ru/wp-content/uploads/2023/11/rak-pochki_23.pdf? ysclid=lwuz3mnez3384504166. [Alekseev B.Ya., Bolotina L.V., Bezhanova S.D., Volkova M.I., Govorov A.V. et al. Clinical guidelines. Renal parenchymal cancer. Year of approval 2023. 134 p. URL: https://oncology-association.ru/wp-content/uploads/2023/11/rak-pochki_23.pdf?ysclid=lwuz3mnez3384504166. (In Russian)].
- Crocerossa F, Autorino R, Derweesh I, Carbonara U, Cantiello F, Damiano R, et al. Management of renal cell carcinoma in transplant kidney: a systematic review and meta-analysis. Minerva Urol Nephrol 2023;75(1):1-16. https://doi.org/10.23736/S2724-6051.22.04881-9
- Minkovich M, Wong RB, Famure O, Li Y, Kim SJ, Lee JY. Renal cell carcinoma in kidney transplant recipients: incidence, trends, clinical management & outcomes. World J Urol 2023;41(9):2389-2395. https://doi.org/10.1007/s00345-023-04495-9
- Griffith JJ, Amin KA, Waingankar N, Lerner SM, Delaney V, Ames SA, et al. Solid renal masses in transplanted allograft kidneys: A closer look at the epidemiology and management. Am J Transplant 2017;17(11):2775-2781. https://doi.org/10.1111/ajt.14366
- Chaudhry D, Chaudhry A, Peracha J, Sharif A. Survival for waitlisted kidney failure patients receiving transplantation versus remaining on waiting list: systematic review and meta-analysis. BMJ 2022;376:e068769. https://doi.org/10.1136/bmj-2021-068769
- Трушкин Р.Н., Медведев П.Е., Соколов С.А., Щеглов Н.Е., Соколов А.А. Современные тенденции в требованиях к донорскому органу при трансплантации почки. Клиническая нефрология 2024;(3):31-5. [Trushkin R.N., Medvedev P.E.,Sokolov S.A., Shcheglov N.E.,Sokolov A.A. Current trends in requirements for a donor organ in kidney transplantation. Klinicheskaya Nefrologiya = Clinical Nephrology 2024;(3):31-35. (In Russian)]. https://doi.org/https://dx.doi.org/10.18565/nephrology.2024.3.31-35
- Crespo M, Mazuecos A, Dominguez-Gil B. Global perspective on kidney transplantation: Spain. Kidney360 2021;2(11):1840-1843. https://doi.org/10.34067/KID.0002502021.
- Puttarajappa CM, Hariharan S, Zhang X, Tevar A, Mehta R, Gunabushanam V, et al. Early effect of the circular model of kidney allocation in the United States. J Am Soc Nephrol 2023;34(1):26-39. https://doi.org/10.1681/ASN.2022040471
- Андрусев А.М., Перегудова Н.Г., Шинкарев М.Б., Томилина Н.А. Заместительная почечная терапия хронической болезни почек 5 стадии в Российской Федерации 2016-2020 гг. Краткий отчет по данным Общероссийского Регистра заместительной почечной терапии Российского диализного общества. Нефрология и диализ 2022;24(4):555-65. [Andrusev A.M., Peregudova N.G., Shinkarev M.B., Tomilina N.A. Kidney replacement therapy for end Stage Kidney disease in Russian Federation, 2016-2020. Russian National Kidney Replacement Therapy Registry Report of Russian Public Organization of Nephrologists «Russian Dialysis Society». Nefrologiya i Dializ =Nephrologу and Dialуsis 2022;24(4):555-65. (In Russian)]. https://doi.org/10.28996/2618-9801-2022-4-555-565
- Готье С.В., Хомяков С.М. Донорство и трансплантация органов в Российской Федерации в 2019 году. XII сообщение регистра Российского трансплантологического общества. Вестник трансплантологии и искусственных органов 2020;22(2):8-34. [Gautier S.V, , Khomyakov S.M. Organ donation and transplantation in the Russian Federation in 2019. 12th report from the registry of the Russian Transplant Society. Vestnik Transplantologii i Iskusstvennykh Organov = Russian Journal of Transplantology and Artificial Organs 2020;22(2):8-34. (In Russian)]. https://doi.org/10.15825/1995-1191-2020-2-8-34
- Piana A, Andras I, Diana P, Verri P, Gallioli A, Campi R, et al. Small renal masses in kidney transplantation: Overview of clinical impact and management in donors and recipients. Asian J Urol 2022;9(3):208-14. https://doi.org/10.1016/j.ajur.2022.06.001
- Ogawa Y, Kojima K, Mannami R, Mannami M, Kitajima K, Nishi M, et al. Transplantation of restored kidneys from unrelated donors after resection of renal cell carcinoma: Results from 10 patients. Transplant Proc 2015;47(6):1711-9. https://doi.org/10.1016/j.transproceed.2015.06.030
- Cristea O, Warren J, Blew B, Rowe N. Transplanting kidneys from donors with small renal masses – a strategy to expand the donor pool. Can Urol Assoc J 2020;14(1):E32-E38. https://doi.org/10.5489/cuaj.5926
- He B, Qin Ng Z, Mou L, Delriviere L, Jaques B, Tuke J, et al. Long-term outcome of kidney transplant by using restored kidney grafts after tumour ex vivo excision – a prospective study. Transpl Int 2020;33(10):1253-61. https://doi.org/10.1111/tri.13682
- Schutter R, Vrijlandt WA, Weima GM, Pol RA, Sanders JF, Crop MJ, et al. Kidney utilization in the Netherlands – do we optimally use our donor organs? Nephrol Dial Transplant 2023;38(3):787-96. https://doi.org/10.1093/ndt/gfac300
- Ambrosi F, Ricci C, Malvi D, Cillia CD, Ravaioli M, Fiorentino M, et al. Pathological features and outcomes of incidental renal cell carcinoma in candidate solid organ donors. Kidney Res Clin Pract 2020;39(4):487-94. https://doi.org/10.23876/j.krcp.20.050
- Lim WH, Au E, Teixeira-Pinto A, Ooi E, Opdam H, Chapman J, et al. Donors with a prior history of cancer: factors of non-utilization of kidneys for transplantation. Transpl Int 2023:36:11883. https://doi.org/10.3389/ti.2023.11883
- Yu K, Husain SA, King K, Stevens JS, Parikh CR., Mohan S. Kidney nonprocurement in deceased donors with acute kidney injury. Clin Transplant 2022;36(11):e14788. https://doi.org/10.1111/ctr.14788
- Sultan S, Finn C, Craig-Schapiro R, Aull M, Watkins A, Kapur S, et al. Simultaneous living donor kidney transplant and laparoscopic native nephrectomy: An approach to kidney transplant candidates with suspected renal-cell carcinoma. J Endourol 2021;35(7):1001-5. https://doi.org/10.1089/end.2020.0841.
- Tran AP, Martins PN, Papazian ZG, Vanguri VK, Movahedi B, Fan PY, et al. Transplantation of renal allograft after removal of renal cell carcinoma: case report and review of the literature. Exp Clin Transplant 2021;19(7):732-735. https://doi.org/10.6002/ect.2018.0215
- Anton DG, Kovvuru K, Kanduri SR, Aeddula NR, Bathini T, Thongprayoon C, et al.. Use and outcomes of kidneys from donors with renal angiomyolipoma: A systematic revie. Urol Ann 2021;13(1):67-72. https://doi.org/10.4103/UA.UA_14_20
- Hollingsworth JM, Miller DC, Daignault S, Hollenbeck BK. Rising incidence of small renal masses: a need to reassess treatment effect. J Natl Cancer Inst 2006;98(18):1331-4. https://doi.org/10.1093/jnci/djj362
- Gross MD, Hassanein M, Myles JL, Augustine JJ, Wee A. Donor-derived renal cell carcinoma in a kidney allograft: A case report. Transplant Proc 2022;54(1):123-125. https://doi.org/10.1016/j.transproceed.2021.11.017
- Ficarra V, Novara G, Secco S, Macchi V, Porzionato A, De Caro R, et al. Preoperative aspects and dimensions used for an anatomical (PADUA) classification of renal tumours in patients who are candidates for nephron-sparing surgery. Eur Urol 2009;56:786–93. https://doi.org/10.1016/j.eururo.2009.07.040
- Wang HK, Qin XJ, Ma CG, Shi GH, Zhang HL, Ye DW. Nephrometry score-guided offclamp laparoscopic partial nephrectomy: patient selection and short-time functional results. World J Surg Oncol 2016;14(1):163. https://doi.org/10.1186/s12957-016-0914-5
- Chang X, Liu T, Zhang F, Qian C, Ji C, Zhao X, et al. The Comparison of R.E.N.A.L., PADUA and Centrality Index Score in predicting perioperative outcomes and complications after laparoscopic radio frequency ablation of renal tumors. J Urol 2015;194(4):897-902. https://doi.org/10.1016/j.juro.2015.03.095
- Гулиев Б.Г., Поваго И.А. Нефрометрические шкалы RENAL, PADUA, C-index, SPARE и ZONAL NePhRO при прогнозировании результатов лапароскопической резекции почки. Онкоурология 2024;20(1):15–23. [ Guliev B.G., Povago I.A. Nephrometry scoring systems RENAL, PADUA, C-index, SPARE, and ZONAL NePhRO for prediction of partial nephrectomy outcomes. Onkourologiya = Cancer Urology 2024;20(1):15–23. (In Russian)]. https://doi.org/doi.org/10.17650/1726-9776-2024-20-1-15-23
- Волкова М.И., Ридин В.А., Черняев В.А., Климов А.В., Фигурин К.М., Матвеев В.Б. Результаты резекции почки у больных опухолями почечной паренхимы с высоким нефрометрическим индексом. Экспериментальная и клиническая урология 2019;(3):60-71. [Volkova M.I., Ridin V.A., Cherniayev V.A., Klimov A.V., Figurin K.M., Matveev V.B. Results of kidney resection in patients with renal cell cancer with a high nephrometric index. Eksperimentalnaya i Klinicheskaya urologiya = Experimental and Clinical urology 2019;(3):60-71. (In Russian)]. https://doi.org/10.29188/2222-8543-2019-11-3-60-71
- Kutikov A, Uzzo R. The R.E.N.A.L. nephrometry score: a comprehensive standardized system for quantitating renal tumor size, location and depth. J Urol 2009;182:844–53. https://doi.org/10.1016/j.juro.2009.05.035
- Пивсаева В.М., Шатохина М.Г. Применение нефрометрических шкал RENAL, PADUA для оценки резектабельности образований почек. Визуализация в медицине 2023;5(4):31-40. [Pivsaeva VM, Shatokhina MG. RENAL, PADUA nephrometry scores applicability for renal masses resectability assessment. Vizuvlizatsiya v meditsine = Visualization in Medicine 2023;5(4):31-40. (In Russian)]. https://doi.org/ojs3.gpmu.org/index.php/visual-med/article/view/5860
- Simmons MN, Ching CB, Samplaski MK, Park CH, Gill IS. Kidney tumor location measurement using the C index method. J Urol 2010;183:1708–13. https://doi.org/10.1016/j.juro.2010.01.005
- Аляев Ю.Г., Сирота Е.С., Рапопорт Л.М., Безруков Е.А., Суханов Р.Б., Цариченко Д.Г. Сравнение значимости шкал нефрометрической оценки RENAL, PADUA, С-index для прогноза сложности лапароскопической резекции почки. Онкоурология 2018;14(1):36-46. [Alyaev Yu.G., Sirota E.S., Rapoport L.M., Bezrukov E.A., Sukhanov R.B. Comparison of the significance of the RENAL, PADUA, and C-index nephrometric scales for the prediction of the complexity of laparoscopic nephrectomy. Onkourologiya = Cancer Urology 2018;14(1):36–46. (In Russian)]. https://doi.org/10.17650/1726-9776-2018-14-1-36-46
- Рубцова Н.А., Крянева Е.В., Гольбиц А.Б., Алексеев Б.Я., Костин А.А., Каприн А.Д. Нефрометрическая система R.E.N.A.L. в практике рентгенолога. Онкоурология 2020;16(4):17–31. [Rubtsova N.A., Kryaneva E.V., Golbits A.B., Alekseev B.Ya., Kostin A.A., Kaprin A.D. The R.E.N.A.L. nephrometry score in radiologist’s practice. Onkourologiya = Cancer Urology 2020;16(4):17–31. (In Russian)]. doi.org/10.17650/1726-9776-2020-16-4-17-31
- Gahan JC, Richter MD, Seideman CA, Trimmer C, Chan D, Weaver M, et al. The performance of a modified RENAL nephrometry score in predicting renal mass radiofrequency ablation success. Urology 2015;85(1):125–9. https://doi.org/10.1016/j.urology.2014.08.026
- Ficarra V, Porpiglia F, Crestani A, Minervini A, Antonelli A, Longo N, et al. The Simplified PADUA REnal (SPARE) nephrometry system: a novel classification of parenchymal renal tumours suitable for partial nephrectomy. BJU Int 2019;124:621–8. https://doi.org/10.1111/bju.14772
- Borgmann H, Reiss AK, Kurosch M, Filmann N, Frees S, Mager R, et al. Score Outperforms PADUA Score, C-Index and DAP Score for outcome prediction of nephron sparing surgery in a selected cohort. J Urol 2016;196(3):664-71. https://doi.org/10.1016/j.juro.2016.03.176
- Spaliviero M, Poon B, Karlo C, Guglielmetti GB, Paolo PL, Corradi RB, et al. An Arterial Based Complexity (ABC) scoring system to assess the morbidity profile of partial nephrectomy. Eur Urol 2016;69:72–9. https://doi.org/10.1016/j.eururo.2015.08.008
- Hakky T, Baumgarten A, Allen B, Lin H.Y., Ercole C.E., Sexton W.J. et al. Zonal NePhRO scoring system: a superior renal tumor complexity classification model. Clin Genitourin Cancer 2014;12:e13–8. https://doi.org/10.1016/j.clgc.2013.07.009
- Robinson S, Nag A, Peticca B, Prudencio T, Di Carlo A, Karhadkar S. Renal cell carcinoma in end-stage kidney disease and the role of transplantation. Cancers (Basel) 2023;6(1):3. https://doi.org/10.3390/cancers16010003
- Machhi R, Mandelbrot DA, Al-Qaoud T, Astor BC, Parajuli S. characteristics and graft survival of kidney transplant recipients with renal cell carcinoma. Am J Nephrol 2020;51(10).777-85. https://doi.org/10.1159/000510616
- Nabavizadeh R, Noorali AA, Makhani SS, Hong G, Holzman S, Patil DH, et al. Transplant radical nephrectomy and transplant radical nephroureterectomy for renal cancer: postoperative and survival outcomes. Ann Transplant 2020;23:25:e925865. https://doi.org/10.12659/AOT.925865
- Motta G, Ferraresso M, Lamperti L, Paolo DD, Raison N, Perego M, et al. Treatment options for localised renal cell carcinoma of the transplanted kidney. World J Transplant 2020;10(6):147-161. https://doi.org/10.5500/wjt.v10.i6.147
- Li KP, Chen SY, Wang CY, Yang L. Comparison between minimally invasive partial nephrectomy and open partial nephrectomy for complex renal tumors: a systematic review and meta-analysis. Int J Surg 2023;109(6):1769-1782. https://doi.org/10.1097/JS9.0000000000000397
- Трушкин Р.Н., Исаев Т.К., Медведев П.Е., Морозов Н.В., Клементьева Т.М., Соколов А.А. Современные подходы к лечению почечно-клеточного рака трансплантированной почки. Медицинский вестник национальной академии наук Таджикистана 2024;(1):91-100. [Trushkin R.N., Isaev T.K., Medvedev P.E., Morozov N.V., Klementeva T.M., Sokolov A.A. Modern approaches to the treatment of renal cell carcinoma of a transplanted kidney. Meditsinskiy vestnik Natsional'noy akademii nauk Tadzhikistana = Medical Bulletin of the National Academy of Sciences of Tajikistan 2024;(1):91-100. (In Russian)].


Скачать