ВВЕДЕНИЕ
Рецидивирующая инфекция мочевыводящих путей (ИМП) является широко распространенной патологией в клинической практике урологов.
Согласно совместному отчету Международной урогинекологической ассоциации (International Urogynecological Association – IUGA) и Международного общества по проблемам недержания мочи (International Continence Society – ICS) о терминологии дисфункции тазового дна у женщин, рецидивирующая инфекция мочевыводящих путей (ИМП) определяется при наличии трех или более симптоматических и подтвержденных клинически случаев ИМП в течение предшествующих 12 месяцев [1]. В 2011 году Секция инфекций в урологии Европейской ассоциации урологов (European Association of Urology (EAU)) предложила систему классификации ORENUC, согласно которой рецидивирующие ИМП классифицируются при наличии рецидивов неосложненных и/ или осложненных ИМП с частотой не менее трех ИМП в год или двух ИМП за последние шесть месяцев. Рецидивирование цистита происходит примерно у половины женщин, находящихся в менопаузе, и, примерно у каждой третьей женщины репродуктивного возраста [2].
Более 80% ИМП вызваны уропатогенной UroPathogenic Escherichia coli (UPEC). Согласно исследованию «Дармис-2018» наиболее частым возбудителем ИМП является Escherichia coli, при неосложненных внебольничных ИМП этот возбудитель выявляется в 74,6% случаев. При этом до 68% рецидивных ИМП вызываются штаммами UPEC, которые фенотипически или генотипически идентичны бактериальному штамму, вызвавшему первоначальную инфекцию [3–5].
Ранее считалось, что UPEC являются строго внеклеточными патогенами. Однако на настоящий момент проведено достаточное количество исследований, доказывающих, что UPEC способна к инвазии уротелиальных клеток и внутриклеточной репликации. Прежде чем выйти во внеклеточную среду для повторного заражения они могут локализоваться в уротелиальных клетках, избегая действия антибактериальных препаратов. Процесс инвазии уропатогенной E. coli возможен за счет факторов адгезии, прежде всего белка FimH, который связывается с уроплакинами, экспрессируемыми на поверхности зонтичных клеток, запуская процесс интернализации бактерий. Недавние данные показали, что другие уропатогены, такие как Enterococcus faecalis и стрептококки группы В, обладают одинаковым потенциалом для проникновения в уротелиальные клетки, хотя механизм, ответственный за клеточную инвазию, различен [6–7].
В ответ на проникновение UPEC возникает защитная реакция организма в виде эксфолиации поверхностных клеток уротелия с целью эрадикации возбудителя из организма. Но при определенных условиях инфицированные кишечной палочкой слущенные зонтичные клетки взаимодействуют с эпителием нижележащих отделов мочевого пузыря и инфицируют их. Этот процесс способствует рецидивированию цистита. Хроническое воспаление, апоптоз и нарушение барьерной функции уротелиальных клеток могут лежать в основе патофизиологии рецидива ИМП у женщин. Хроническое воспаление может сохраняться в слизистой оболочке мочевого пузыря после разрешения ИМП, что может способствовать дисфункции уротелия, нарушению барьерной функции и рецидивированию. Нарушение барьерной функции уротелия в значительной степени связано с хроническим воспалением и, возможно, является причиной повышенного уротелиального апоптоза [8–9].
Наличие хронического бактериального цистита не является показанием к биопсии стенки мочевого пузыря, хотя очень важно понимать, какие патоморфологические изменения соответствуют тем или иным особенностям клинического течения рецидивирующего цистита.
Целью нашего исследования было изучение особенностей патоморфологии слизистой оболочки мочевого пузыря, их взаимосвязи с клиническими проявлениями хронического рецидивирующего цистита у женщин.
МАТЕРИАЛЫ И МЕТОДЫ
В исследование были включены 58 пациенток с рецидивирующими бактериальными циститами.
Все они получали лечение в соответствии с действующими стандартами и рекомендациями, утвержденными Минздравом России, и отмечали наличие двух обострений цистита в течение полугода или трех – в течение года.
Всем больным проводили в обязательном порядке сбор жалоб, изучение анамнеза, физикальное обследование, общий анализ и бактериологическое исследование мочи, пациентки заполняли опросник симптомов острого цистита (Acute Cystitis Symptom Score – ACSS) и непрерывно в течение 72 часов – дневник мочеиспусканий. Для исключения осложняющих факторов по показаниям выполнялось ультразвуковое исследование (УЗИ) мочевого пузыря с контролем остаточной мочи и урофлоуметрия.
Пациентки с нейрогенной дисфункцией нижних мочевых путей, инфравезикальной обструкцией, камнями мочевого пузыря, опухолью мочевого пузыря и другими осложняющими факторами были исключены. Для проведения дифференциальной диагностики с синдромом хронической тазовой боли, а также для оценки влияния дискомфорта/боли в области органов малого таза на качество жизни, использовали валидные, рекомендованные опросники: «Показатель мочеполовой боли у женщин» («Female Genitourinary Pain Index», F-GUPI), включающий 9 вопросов с максимальной суммой баллов, равной 45, и «Шкалу симптомов тазовой боли, ургентности и частоты мочеиспускания» (Pelvic Pain and Urgency/Frequency Patient Symptom Scale (PUF Scale)) [10].
Последнее обострение цистита у включенных в исследование пациенток наблюдалось за 2–3 месяца до начала исследования. После проведенного лечения, включавшего антибактериальную терапию, все женщины отмечали клиническое выздоровление в течение как минимум двух недель и в общем анализе мочи число лейкоцитов было меньше 5 в поле зрения и отсутствовал рост микрофлоры при бактериологическом исследовании мочи. Госпитализация проводилась в отделение урологии ГБУЗ «Пензенская областная клиническая больница им. Н.Н. Бурденко» с целью выполнения видеоцистоскопии с биопсией стенки мочевого пузыря.
Биопсийный материал получали из боковой и задней стенок мочевого пузыря примерно на 2 см выше устья мочеточника из наиболее патологически измененных областей с использованием способа «холодных» щипцов.
Полученные биоптаты отправлялись в патологоанатомическую лабораторию после 24-часовой фиксации в нейтральном забуференном формалине. Гистологическую проводку (обезжиривание и обезвоживание, просветление, парафинирование) производили по стандартной технологии в тканевом гистопроцессоре. Срезы из парафиновых блоков толщиной 3–5 мкм получали с помощью ротационного микротома RMD 3000 (ООО «МедТехникаПоинт», Россия), окрашивали при помощи гематоксилин Майера-эозин («БиоВитрум», Россия). Микроскопию препаратов проводили с помощью прямого светового микроскопа ZEISS Primo Star («Карл Цейсс Микроскопи ГмбХ», Германия) в разрешениях x100, x200, х400. При микроскопии препаратов оценивали состояние уротелия, определяли признаки тканевого воспаления, особенности клеточного состава инфильтратов, признаки ремоделирования и патологической трансформации тканей. Морфологическая оценка выполнялась патоморфологами без знания клинических данных.
Для статистической обработки данных использовали пакет программ Statistica 6.0 (StatSoft Inc., Tulsa,OK, USA). Нормальность распределения проверяли с помощью теста Колмогорова Смирнова-Lilliefors. Для оценки силы связи (корреляции) между показателями был проведен корреляционный анализ по Spearman. За статистически значимые принимали различия при p < 0,05.
РЕЗУЛЬТАТЫ
Оценка возраста и менструальной функции
Средний возраст женщин составил 45+15,5 года (в возрасте от 20 до 78 лет). В возрастную группу от 20 до 29 лет вошли 11 женщин (19 %), от 30 до 39 лет – 14 (24,1 %), от 40 до 49 лет – 12 (20,7 %), от 50 до 59 лет – 8 (13,8 %), от 60 до 69 лет – 8 (13,8 %) и от 70 до 79 лет – 5 (8,6 %). Большая часть из группы наблюдения, 35 пациенток (60,3%), была в репродуктивном возрасте (34,5+8,3 года), 23 женщины (39,7 %) находились в состоянии менопаузы или постменопаузы (60,8+9,3 лет).
Менопауза и климактерическое состояние расценивались как стойкое прекращение менструаций 12 мес.
Оценка выраженности симптомов и влияния их на качество жизни
Опросники оценки выраженности симптомов и влияния на качество жизни были заполнены всеми пациентками непосредственно перед выполнением цистоскопии.
Результаты применения PUF Scale: средний балл выраженности симптомов составил 9,9+5,1, средний балл обеспокоенности симптомами – 4,9+3,1, средний общий балл шкалы – 14,7+7,9. При этом у 17 пациенток общий балл шкалы PUF был в интервале, равном 5-9 баллам, у 17 – в интервале 10-14 баллов, у 17 – в интервале 15-19 баллов и у 7 общий балл был равен 20 баллам или выше. Уровень баллов свидетельствует о наличии у всех пациенток тазовой боли и высокой вероятности ее хронизации.
При использования опросника F-GUPI были получены следующие результаты: средний балл подшкалы боли – 7,9+1,2, средний балл подшкалы расстройств мочеиспускания – 2,2+1,3, средний балл подшкалы качества жизни 4,2+0,9, общая сумма баллов шкалы, в среднем, была равна 14,2+0,7. Показатель тазовой боли, согласно опроснику GUPI, у женщин, принявших участие в исследовании, оказался средним, поскольку данная шкала оценивает выраженность симптомов в течение недели до опроса, а в нашем случае, в период ремиссии заболевания, поэтому данные применения опросника GUPI не использовались для характеристики клинических проявлений при патоморфологических изменениях слизистой мочевого пузыря.
Микробиологическое исследование мочи
Бактериологическое исследование мочи выполнялось во время рецидива хронического цистита до начала лечения и были обнаружены следующие уропатогены: Escherichia coli у 34 пациенток (58,6 %), Klebsiella pneumoniae у 15 (25,9 %), Enterococcus faecalis – 4 (6,9 %), Proteus mirabilis – 4 (6,9 %), Enterobacter cloacae у 1 (1,7 %) женщины, соответственно. Бактерии присутствовали в моче в высокой концентрации: 105 –107 КОЕ/мл.
Морфологическая оценка изменений в стенке мочевого пузыря у пациенток с рецидивирующими циститами Была разработана и использована в работе шкала оценки гистопатологических изменений при морфологической оценке биоптатов стенки мочевого пузыря (табл. 1).
Таблица 1. Шкала оценки гистопатологических изменений в стенке мочевого пузыря при рецидивирующем цистите
Table 1. Scoring scale for histopathological features of urinary bladder biopsies in recurrent cystitis
| Шкала в баллах Scale in points | Оценка степени выраженности Assessment of severity | Состояние уротелия Condition of the urothelium | Время появления АПЖ после АТП (месяц) Time of PA onset after KT (months) | Возбудитель Pathogens | Лечение Treatment |
|---|---|---|---|---|---|
| 0 | Норма Normal | Норма Normal | Норма Normal | Признаков воспаления нет No signs of inflammation | Признаки склерозирования отсутствуют No signs of sclerosis |
| 1 | Незначительные изменения Minor changes | Эпителий незначительно уплощен, отмечается частичная потеря зонтичных клеток The epithelium is slightly flattened, with partial loss of umbrella cells | Потеряно менее трети зонтичных клеток Less than one-third of umbrella cells lost | Лимфоциты присутствуют, единичные в поле зрения* Lymphocytes present, isolated in the field of view* | Единичные очаги склероза Isolated foci of sclerosis |
| 2 | Умеренные изменения Moderate changes | Уплощение уротелия вплоть до одного слоя, отсутствие слоев и/или связи между эпителиоцитами Flattening of the urothelium to a single layer, absence of layers and/or connections between epithelial cells | Потеряно от одной до двух третей зонтичных клеток One to two-thirds of umbrella cells lost | Лимфоидные агрегаты до 100 в поле зрения Lymphoid aggregates up to 100 in the field of view | Склерозирование на всем протяжении, утолщение незначительное Sclerosis throughout, slight thickening |
| 3 | Тяжелые изменения Severe changes | Уротелий обнажен полностью Urothelium completely exposed | Потеряно от двух третей зонтичных клеток до их полной утраты Loss of two-thirds to complete loss of umbrella cells | Выраженные лимфоидные агрегаты, 100 и более в поле зрения Pronounced lymphoid aggregates, 100 or more in the field of view | Выраженное утолщение на всем протяжении Marked thickening throughout |
Учитывая, что биоптаты были получены методом щипковой биопсии, которая позволяет получить не все слои стенки мочевого пузыря, в ходе морфологического исследования предоставлялось возможным изучить слизистый и подслизистый слои.
В таблице 2 представлено распределение пациенток с рецидивирующим циститом по степени выраженности морфологических изменений в стенке мочевого пузыря.
Исследовалось состояние уротелия, слоя зонтичных клеток, оценивалось хроническое воспаление, выраженность склероза собственной пластинки. Степень хронического воспаления определялась концентрацией лимфоцитов в уротелии и субуротелиальных, мезенхимальных областях, что отражало адаптивный иммунный ответ. Наиболее тяжелое хроническое воспаление определялось наличием выраженных лимфоидных скоплений, образующих зародышевые центры. Дефекты уротелия мочевого пузыря оценивались по шкале от 0 (норма) до 3 (полное оголение уротелия). Целостность зонтичных клеток уротелия оценивалась как нормальная, если они покрывали 75–100% площади уротелия в полях зрения, остальные случаи считались дефектными. [11–12].

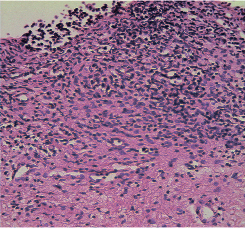
Рис. 1. Фиброз собственной пластинки в виде рубцовой трансформации. Выраженная очаговая инфильтрация лимфоцитами. Окраска гематоксилином и эозином, х 246,4
Fig. 1. Fibrosis of the lamina propria in the form of scar transformation. Pronounced focal infiltration by lymphocytes. H&E, x 246,4
Морфологический анализ полученных в ходе видеоцистоскопии биоптатов стенки мочевого пузыря подтвердил наличие хронического воспаления у всех 58 пациенток (100%), о чем свидетельствует выявленная лимфоцитарная инфильтрация (рис.1, 2). Длительный воспалительный процесс в стенке мочевого пузыря сопровождался склерозированием в 70,1% случаев (у 41 женщины) (рис.1, 3). Результаты гистопатологического исследования показали нарушение целостности уротелия в 86,2% случаев (у 50 пациенток, соответственно), причем в 63,8% отмечалось уплощение уротелия вплоть до одного слоя, отсутствие слоев и/или связи между эпителиоцитами до полной денудации (рис. 2).

Рис. 2. Слизистая оболочка на большем протяжении представлена 1-2 слоями клеток, большинство из которых слущены и свободно лежат над базальной мембраной. Диффузная инфильтрация плазматическими клетками, лимфоцитами и гистиоцитами. Окраска гематоксилином и эозином, х 246,4
Fig. 2. The mucous membrane for a greater extent is represented by 1-2 layers of cells, most of which are desquamated and freely lie above the basement membrane. Diffuse infiltration of plasma cells, lymphocytes, and histiocytes. H&E, x 246,4
Таблица 2. Распределение пациенток с рецидивирующим циститом по степени выраженности морфологических изменения в стенке мочевого пузыря
Table 2. Distribution of patients with recurrent cystitis according to the severity of morphological changes in the bladder wall
| Шкала в баллах Scale in points | Состояние уротелия, n Condition of the urothelium, n | Состояние зонтичных клеток, n Condition of umbrella cells, n | Оценка хронического воспаления, n Assessment of chronic inflammation, n | Выраженность склероза собственной пластинки, n Severity of sclerosis of the lamina propria, n |
|---|---|---|---|---|
| 0 | 8 | 8 | 0 | 17 |
| 1 | 13 | 12 | 15 | 19 |
| 2 | 31 | 28 | 22 | 16 |
| 3 | 6 | 10 | 21 | 6 |

Рис. 3. Склероз собственной пластинки и подслизистой основы. Окраска гематоксилином и эозином, 246,4
Fig. 3. Sclerosis of the lamina propria and submucosa. H&E, x 246,4
Таблица 3. Корреляционный анализ патоморфологических изменений и клинических данных при рецидивирующем цистите
Table 3. Correlation analysis of pathomorphological findings and clinical data in recurrent cystitis
| Показатели Indicators | PUF, общий балл PUF, total score | Состояние уротелия Condition of the urothelium | Состояние зонтичных клеток Condition of the umbrella cells | Выраженность хронического воспаления Severity of chronic inflammation | Склероз собственной пластинки Sclerosis of the lamina propria | Длительность заболевания Duration of the disease | Число рец. за год Number of recurrences per year | Возраст Age | Менопауза Menopause |
|---|---|---|---|---|---|---|---|---|---|
| КОЭФФИЦИЕНТ КОРРЕЛЯЦИИ / CORRELATION COEFFICIENT | |||||||||
| PUF, общий балл PUF, total score | – | 0,83 | 0,84 | 0,87 | 0,56 | 0,57 | 0,86 | 0,4 | 0,295 |
| Состояние уротелия Condition of the urothelium | 0,83 | – | 0,81 | 0,76 | 0,58 | 0,6 | 0,7 | 0,4 | 0,26 |
| Состояние зонтичных клеток Condition of the umbrella cells | 0,84 | 0,81 | – | 0,75 | 0,43 | 0,51 | 0,72 | 0,45 | 0,35 |
| Выраженность хронического воспаления Severity of chronic inflammation | 0,87 | 0,76 | 0,75 | – | 0,52 | 0,5 | 0,77 | 0,41 | 0,35 |
| Склероз собственной пластинки Sclerosis of the lamina propria | 0,56 | 0,58 | 0,43 | 0,52 | – | 0,43 | 0,5 | 0,26 | 0,11 |
| Длительность заболевания Duration of the disease | 0,57 | 0,6 | 0,51 | 0,5 | 0,43 | – | 0,46 | 0, | 0,18 |
| Число рец. за год Number of recurrences per year | 0,86 | 0,7 | 0,72 | 0,77 | 0,5 | 0,46 | – | 0,47 | 0,27 |
| Возраст Age | 0,45 | 0,4 | 0,45 | 0,41 | 0,26 | 0,3 | 0,47 | – | 0,85 |
| Менопауза Menopause | 0,29 | 0,26 | 0,35 | 0,35 | 0,11 | 0,18 | 0,27 | 0,85 | – |
Примечания. 1) Красным цветом выделены достоверные значения коэффициента корреляции. В зависимости от значения коэффициента корреляции различают следующие корреляционные связи: сильная или тесная (при R> 0,70); средняя (при 0,50 Notes. 1) Reliable correlation coefficient values are highlighted in red. Depending on the correlation coefficient value, the following correlation relationships are distinguished: strong or close (when R> 0.70); moderate (when 0.50
Оценка взаимосвязи клинических проявлений хронического цистита и морфологических изменений в стенке мочевого пузыря
Для оценки силы взаимосвязи между гистопатологическими данными, полученными в ходе патоморфологического анализа, и клиническими данными: общий балл опросника PUF, длительность заболевания (в годах), число обострений цистита в течение года, предшествующего включению в исследование, возраст, репродуктивная функция (есть менопауза или нет).
Полученные в ходе статистического анализа данные приведены в таблице 3.
Выраженность хронического воспаления в слизистой оболочке мочевого пузыря имеет прямую сильную взаимосвязь со степенью поражения слоя зонтичных клеток, целостностью уротелия и общим баллом шкалы симптомов тазовой боли, ургентности ичастоты мочеиспускания, а также с числом рецидивов цистита в течение года. Взаимосвязь средней силы выявлена между хроническим воспалением и склерозом собственной пластинки, умеренной силы – между длительностью заболевания, возрастом пациенток и их репродуктивной функцией. Состояние уротелия, в том числе слоя зонтичных клеток, тесно взаимосвязано с выраженностью симптоматики по шкале PUF, с выраженностью хронического воспаления и числом рецидивов цистита в течение последнего года. Склероз собственной пластинки не имел тесной взаимосвязи с другими изучаемыми признаками.
Соответственно, чем более выражена потеря эпителия слизистой оболочки мочевого пузыря, тем хуже качество жизни, и короче межрецидивный период в течении хронического цистита.
ОБСУЖДЕНИЕ
Полученные нами данные свидетельствуют о том, что при хронических рецидивирующих бактериальных инфекциях нижних мочевых путей, хронический воспалительный процесс ассоциирован с нарушением целостности переходноклеточного эпителия стенки мочевого пузыря.
Есть основания предполагать, что аномальная функция уротелиального барьера в значительной степени связана с хроническим воспалением и, возможно, является причинным фактором повышенного уротелиального апоптоза, что ведет к дефициту уротелия и нарушению его целостности. Уротелиальная дисфункция, обусловленная поврежденным химическим и клеточным барьером, является фактором способствующим облегчению проникновения кишечной палочки в уротелий, колонизации с формированием в большем количестве во всех его слоях, устойчивых как к врожденным (например, эксфолиации), так и к приобретенным механизмам защиты, а также к антибактериальной и иммунной терапии, покоящихся внутриклеточных резервуаров (QIR). Уротелий может секретировать провоспалительные цитокины и защитные гликопротеиновые бляшки, такие как уроплакин и белок Тамма-Хорсфалла (THP), на поверхности мочевого пузыря в качестве анатомических барьеров. Известно, что у пациентов с рецидивирующей ИМП менее эффективны такие фундаментальные механизмы антибактериальной защиты, как секреция провоспалительных цитокинов и уроплакинов, ингибирование бактериальной адгезии [6, 13 – 14].
Бактериальные покоящиеся внутриклеточные резервуары в процессе регенерации эпителия мигрируют вместе с дифференцирующимися эпителиоцитами в зрелые поверхностные зонтичные клетки (длительность цикла зависит от скорости регенерации, с среднем, 2 недели после заражения. Находясь в поверхностных зонтичных клетках, UPEC трансформируется в размножающиеся внутриклеточные бактериальные сообщества, вызывая обострение рецидивирующей ИМП.
Недостаточность уротелиальной функции может быть вызвана рецидивирующей ИМП, и наоборот, дефицит уротелия стенки мочевого пузыря может является фактором риска хронизации ИМП. Формирующийся при этом «замкнутый круг» ведет к снижению эффективности стандартной терапии, уменьшению длительности безрецидивного периода и, как следствие, к значительному снижению качества жизни, что подтверждается полученными в результате нашего исследования данными. Чем тяжелее течение хронического рецидивирующего цистита, тем более поврежден слой переходноклеточного эпителия, вплоть до его полной денудации.
ЗАКЛЮЧЕНИЕ
Отсутствие эффективности в лечении хронической ИМП, сокращение длительности безрецидивного периода, ухудшение качества жизни пациентов с ХРЦ могут быть обусловлены дефицитом пролиферации уротелиальных клеток и потерей уротелия, лежащей в основе рецидивирования при хроническом бактериальном цистите. Для успешного лечения ХРЦ необходима терапия, направленная на ускорение регенерации эпителия и восстановление его целостности.
ЛИТЕРАТУРА
- Joop P van de Merwe JP, Nordling J, Bouchelouche P, Bouchelouche K, Cervigni M, Daha LK, et al. Diagnostic criteria, classification, and nomenclature for painful bladder syndrome/interstitial cystitis: an ESSIC proposal. Eur Uro 2008;53(1):60-7. https://doi.org/10.1016/j.eururo.2007.09.019
- Johansen TE, Botto H, Cek M, Grabe M, Tenke P, Wagenlehner FM, et al. Critical review of current definitions of urinary tract infections and proposal of an EAU/ESIU classification system. Int J Antimicrob Agents 2011;38(Suppl.):64-70. https://doi.org/10.1016/j.ijantimicag.2011.09.009
- Gupta K, Stamm WE. Pathogenesis and management of recurrent urinary tract infections in women. World J Urol 1999;17(6):415-20. https://doi.org/10.1007/s003450050168
- Палагин И.С., Сухорукова М.В., Дехнич А.В., Эйдельштейн М.В., Перепанова Т.С., Козлов Р.С. Антибиотикорезистентность возбудителей внебольничных инфекций мочевых путей в России: результаты многоцентрового исследования «Дармис-2018». Клиническая микробиология и антимикробная химиотерапия 2019;21(2):134-46. [Palagin I.S., Sukhorukova M.V., Dekhnich A.V., Eidelstein M.V., Perepanova T.S., Kozlov R.S. Antibiotic resistance of pathogens causing community-acquired urinary tract infections in Russia: results of the multicentre study «Darmis-2018». Klinicheskaya mikrobiologiya i antimikrobnaya ximioterapiya = Clinical Microbiology and Antimicrobial Chemotherapy 2019;21(2):134-46. (In Russian)].
- Brauner A, Jacobson SH, Kühn I. Urinary Escherichia coli causing recurrent infections – a prospective follow-up of biochemical phenotypes. Clin Nephrol 1992;38(6):318-23.
- Mysorekar IU, Hultgren SJ. Mechanisms of uropathogenic Escherichia coli persistence and eradication from the urinary tract. Proc Natl Acad Sci USA 2006;103(38):14170-5. https://doi.org/10.1073/pnas.0602136103
- Ognenovska S, Mukerjee C, Sanderson-Smith M, Moore KH, Mansfield KJ. Virulence Mechanisms of Common Uropathogens and Their Intracellular Localisation within Urothelial Cells. Pathogens 2022;11(8):926. https://doi.org/10.3390/pathogens11080926
- Mulvey MA, Schilling JD, Hultgren SJ. Establishment of a persistent Escherichia coli reservoir during the acute phase of a bladder infection. Infect Immun 2001;69(7):4572-9. https://doi.org/10.1128/IAI.69.7.4572-4579.2001
- Chuang FC, Kuo HC. Increased urothelial cell apoptosis and chronic inflammation are associated with recurrent urinary tract infection in women. PLoS One 2013;8(5):e63760. https://doi.org/10.1371/journal.pone.0063760
- Clemens JQ, Calhoun EA, Litwin MS, McNaughton-Collins M, Kusek JW, Crowley EM, et al. Urologic pelvic pain collaborative research network. Validation of a modified National Institutes of Health chronic prostatitis symptom index to assess genitourinary pain in both men and women. Urology 2009;74(5):983-7. https://doi.org/10.1016/j.urology.2009.06.078
- Lynes WL, Flynn SD, Shortliffe LD, Stamey TA. The histology of interstitial cystitis. Am J Surg Pathol 1990;14(10):969-76. https://doi.org/10.1097/00000478-199010000-00011
- Jhang JF, Ho HC, Hsu YH, Jiang YH, Kuo HC. Bladder Ultrastructure and Urinary Cytokine Abnormality in Patients with Recurrent Urinary Tract Infection and the Changes after Intravesical Platelet-Rich Plasma Injections. Biomedicines 2022;10(2):245. https://doi.org/10.3390/biomedicines10020245
- Shie JH, Kuo HC. Higher levels of cell apoptosis and abnormal E-cadherin expression in the urothelium are associated with inflammation in patients with interstitial cystitis/painful bladder syndrome. BJU Int 2011;108:136–41.
- Ruggieri MR, Levin RM, Hanno PM, Witkowski BA, Gill HS, Steinhardt GF. Defective antiadherence activity of bladder extracts from patients with recurrent urinary tract infection. J Urol 1988;140(1):157-9. https://doi.org/10.1016/s0022-5347(17)41517-5


Скачать