ВВЕДЕНИЕ
Пролапс тазовых органов (ПТО) – это распространенное заболевание, которое затрагивает до 25% женщин и значительно ухудшает их качество жизни [1]. ПТО развивается вследствие ослабления и повреждения поддерживающих структур тазового дна, включая связочный аппарат, мышцы и стенки влагалища. Основными факторами, способствующими развитию данной патологии, являются роды через естественные родовые пути, возрастные изменения, ожирение и повышенное внутрибрюшное давление [2, 3].
На протяжении нескольких десятилетий для хирургического лечения ПТО широко применялись нерассасывающиеся синтетические сетчатые импланты, которые изначально использовались в герниохирургии. Большинство используемых для реконструкции тазового дна синтетических сетчатых имплантов изготовлены из полипропилена – материала, обладающего высокой биосовместимостью, но способного вызывать значимую воспалительную реакцию с последующим развитием перипротезного фиброзного процесса [4]. В последние годы использование полипропиленовых сеток в реконструктивной хирургии тазового дна было значительно ограничено или полностью запрещено в ряде стран, включая США, Великобританию, Австралию и Новую Зеландию [5]. Основными причинами запрета стали высокая частота имплант-ассоциированных осложнений, таких как эрозия импланта, хроническая тазовая боль и, впоследствии, необходимость повторных хирургических вмешательств для удаления импланта [6, 7]. В связи с этим сообщество хирурговурогинекологов оказалось в сложной ситуации: с одной стороны, использование исключительно собственных тканей для реконструкции демонстрирует высокую частоту рецидивов (до 30%), а с другой – применение синтетических имплантов сопряжено с риском серьезных осложнений [8, 9]. По этой причине разработка новых материалов и технологий, направленных на снижение объема синтетического импланта и уменьшение частоты осложнений, является актуальной задачей современной реконструктивной хирургии.
Одним из перспективных направлений развития хирургии ПТО является использование частично резорбируемых эндопротезов. Основной идеей в этом случае является сохранение привычного форм-фактора сетчатого импланта, который удобен для установки и обеспечивает надежную фиксацию тазовых структур в раннем послеоперационном периоде, после чего резорбируемые компоненты постепенно деградируют, а их место занимает собственная соединительная ткань пациента. Теоретически, это позволяет снизить риск хронических воспалительных реакций и избыточного фиброзирования, характерных для полноразмерных нерезорбируемых синтетических имплантов. Экспериментальные исследования, проведенные ранее, подтвердили безопасность и биосовместимость частично резорбируемой системы доставки лигатур [10-12]. Однако на сегодняшний день отсутствуют клинические данные о применении такого типа имплантов для хирургической коррекции ПТО у женщин, что подчеркивает необходимость проведения дальнейших исследований для оценки ее эффективности и безопасности.
Цель исследования – оценить эффективность и безопасность унилатеральной гибридной хирургической реконструкции тазового дна при ПТО с применением частично резорбируемой системы доставки лигатур.
МАТЕРИАЛЫ И МЕТОДЫ
В период с января по март 2024 года в КВМТ им. Н. И. Пирогова СПбГУ было проведено одноцентровое проспективное пилотное исследование. Данное исследование было одобрено Комитетом по биомедицинской этике КВМТ им. Н.И. Пирогова СПбГУ. Все пациентки подписали добровольное информированное согласие на участие в исследовании.
Критериями включения являлись наличие у пациентки апикального пролапса тазовых органов 2 и более стадии по системе POP-Q (Pelvic Organ Prolapse Quantification) (точка С> -1), согласие пациентки на участие в исследовании.
Критериями исключения – ранее перенесенная реконструктивная операция ПТО с использованием
сетчатого импланта, наличие активного воспалительного процесса в области малого таза, ранее выполненная экстирпация матки, наличие активного онкологического заболевания, невозможность амбулаторного наблюдения пациентки, психоэмоциональные заболевания, препятствующие заполнению анкет и опросников.Методы оценки
Первичной конечной точкой была оценка анатомической эффективности в апикальном отделе с использованием системы POP-Q.
Вторичными конечными точками были субъективная оценка улучшения симптомов качества жизни, согласно русскоязычным версиям опросников: опросник нарушения функции тазового дна PFDI-20 (Pelvic floor distress inventory), состоящий из субшкал POPDI-6 (Pelvic Organ Prolapse Distress Inventory 6), CRADI-8 (Colorectal-Anal Distress Inventory 8), UDI-6 (Urinary Distress Inventory 6), также опросник для оценки тяжести степени недержания мочи ICIQ-SF (International Conférence on Incontinence QuestionnaireShort Form), а также визуальная аналоговая шкала (ВАШ-10) боли внизу живота и в пояснице. Удовлетворенность проведенным лечением оценивалась согласно опросникам IMPSS (Integrative Medicine Patient Satisfaction Scale) и PGI-I . (Patient Global Impression of Improvement). Для оценки осложнений применялась классификация Clavien-Dindo.
Все пациентки прошли стандартный гинекологический осмотр, также заполняли специально разработанную для данного исследования анкету, которая включала социо-демографическую информацию, информацию о предшествующем лечении, гинекологическом и акушерством анамнезе.
МРТ исследование
Помимо осмотра двум пациенткам в отдаленном периоде (>180 дней) была выполнена магнитно-резонансная томография (МРТ) органов малого таза на аппарате с индукцией магнитного поля 3Т, с использованием 16-канальной катушки для тела и встроенной катушки. Сканирование выполнялось по стандартной программе в трех ортогональных плоскостях с использованием Т2-ИП и Т1-ИП, в том числе с подавлением сигнала от жира, диффузионно-взвешенных импульсных последовательностей с факторами взвешенности до b=1000. Исследование было дополнено сканированием в косой плоскости, ориентированной перпендикулярно оси шейки матки с толщиной слоя 3 мм и динамическим сканированием после внутривенного контрастирования препаратом гадолиния.
Описание импланта и хирургического вмешательства
Коррекция ПТО проводилась трансвагинальным доступом и включала в себя выполнение унилатеральной гибридной хирургической реконструкции тазового дна с применением ранее разработанной частично резорбируемой системы доставки лигатур (рис. 1). Гибридная реконструкция включает в себя сакроспинальную фиксацию с использованием импланта, переднюю кольпорафию (части пациенток для укрепления передней стенки использовался васкулязированный влагалищный лоскут) и расширенную субфасциальную кольпоперинеопластику [13, 14].

Рис. 1. Макроскопическое фото импланта (1 – нерассасывающиеся нити, 2 – рассасывающиеся нити)
Fig. 1. Macroscopic photo of the implant (1 – non-resorbable sutures, 2 – resorbable sutures)
Статистический анализ
Для статистического анализа использовали программное обеспечение SPSS 27.0. Нормальность распределения количественных показателей проверяли с помощью критерия Шапиро-Уилка и КолмогороваСмирнова. Количественные данные представляли как среднее значение (стандартное отклонение) и медиана (межквартильный интервал – Q1; Q3). Качественные данные описывали абсолютными и относительными частотами встречаемости, n (%). Сравнение количественных показателей в двух связанных группах с учетом характера распределения данных проводили с использованием знаково-рангового критерия Вилкоксона. Пороговый уровень значимости при проверке статистических гипотез составлял p=0,05.
РЕЗУЛЬТАТЫ
В исследовании включены 30 пациенток с ПТО, которым была необходима хирургическая реконструкция тазового дна. Срок наблюдения составил 12 месяцев. Согласно классификации POP-Q, у 9 (30%) пациенток имелась 2 стадия, у 20 (66,7%) пациенток – 3 стадия, у 1 (3,3%) пациентки – 4 стадия. Общая информация о пациентках, социо-демографический портрет представлен в таблице 1. Акушерский анамнез пациенток представлен в таблице 2.
Средняя продолжительность операции составила 59±25,7 минут. Интраоперационных и ранних послеоперационных осложнений не наблюдалось. Хирургические вмешательства включали переднюю кольпорафию у 29 пациенток (96,7%), в том числе с применением васкуляризированного влагалищного лоскута для коррекции цистоцеле у 14 пациенток (46,7%). Задняя кольпорафия была выполнена всем 30 пациенткам (100%), 25 (83,3%) также была выполнена перинеопластика. Этапы операции представлены на рисунке 2.
Таблица 1. Социо-демографическая характеристика пациенток, включенных в исследование
Table 1. Socio-demographic characteristics of the patients included in the study
| Параметр/Parameter | Значения (n=30)/Values (n=30) |
|---|---|
| Возраст, количество лет/Age, years - среднее (ст. откл.)/Mean (SD) - диапазон (мин-макс)/Range (min-max) |
64,5 (14,5) 50-79 |
| Место проживания/Place of living, n (%) - город/city |
30 (100) |
| Семейное положение/Family status, n (%) - замужем или гражданский брак/marriage - не замужем/single - разведена/divorced - вдова/widow - нет данных/no data |
14 (46,6) 1 (3,3) 1 (3,3) 10 (33,3) 4 (13,3) |
| Занятость, n (%)/Employment, n (%) - работает/employed - не работает/unemployed - на пенсии/retired |
8(26,6) 3 (10) 19 (63,3) |
| Индекс коморбидности/Comorbidity index - среднее (ст. откл.)/mean (standard deviation) - медиана (Q1; Q3)/median (Q1; Q3) - диапазон (мин-макс)/range (min-max) |
4,53 (2,21) 4 (3; 5,25) 1-9 |
| Индекс массы тела (ИМТ)/Body mass index (BMI) - среднее (ст. откл)/mean (standard deviation) - диапазон (мин-макс)/range (min-max) Нет избыточного веса (ИМТ <25), n (%)/Not overweight (BMI <25), n (%) Избыточный вес или ожирение (ИМТ≥25), n (%)/Overweight or obese (BMI≥25), n (%) |
28,19 (4,12) 22,04-35,86 7 (23,3) 23 (76,6) |
| Уровень физической активности, n (%)/Physical activity level, n (%) - высокий/high - средний/average - низкий/low |
1 (3,3) 10 (33,3) 19 (63,3) |
| Занятия спортом, n (%)/Sports activities, n (%) - нет/no - да/yes |
27 (90) 3 (10) |
Таблица 2. Акушерско-гинекологический анамнез пациенток.
Table 2. Obstetric and gynecologic anamnesis of the patients
| Параметр/Parameter | Значения (n=30)/Values (n=30) |
|---|---|
| Количество беременностей/Number of pregnancies - медиана (Q1; Q3)/median (Q1; Q3) - диапазон (мин-макс)/range (min-max) |
4 (2; 5) 1-10 |
| Количество родов/Number of births - медиана (Q1; Q3)/median (Q1; Q3) - диапазон (мин-макс)/range (min-max) |
2 (1; 2) 1-4 |
| Возраст на момент первых родов, лет:/Age at first birth, years: - среднее (ст. откл)/mean (std. dev.) - медиана (Q1; Q3)/median (Q1; Q3) - диапазон (мин-макс)/range (min-max) |
24,12 (2,86) 24 (22,50; 25,50) 18-32 |
| Осложнения после родов, n (%)/Postpartum complications, n (%) - не были/none - были/yes |
24 (80) 2 (6,6) |
| Акушерский анамнез, n (%)/Obstetric history, n (%) - роды естественные/vaginal birth - роды кесаревым сечением/cesarean birth - аборты/abortions - выкидыши/miscarriages |
30 (100) 1 (3,3) 10 (33,3) 3 (9,9) |
| Возраст на начало менопаузы, лет/Age at menopause, years - среднее (ст. откл)/mean (std. dev.) - медиана (Q1; Q3)/median (Q1; Q3) - диапазон (мин-макс)/range (min-max) |
48,76 (5,92) 50 (46; 52,5) 29-60 |

Рис. 2. Этапы гибридной реконструкции тазового дна с применением частично резорбируемой системы доставки лигатур для аксиальной фиксации структур тазового дна. А – произведена диссекция мочевого пузыря по передней стенке влагалища, диссекция левой крестцово-остистой связки, установка импланта через крестцово-остистую связку троакарным методом с выходом на кожу ягодицы. Б – имплант фиксирован 3 нерассасывающимися отдельными узловыми швами нитью Фторэкс 2-0 в области фиброзного кольца шейки матки. В – выполнена передняя кольпорафия корсетным швом рассасывающимся швом ПГА 2-0. Г – итоговый вид передней стенки влагалища после непрерывного шва на слизистую рассасывающимся швом ПГА 0 и первичного позиционирования импланта
Fig. 2. Steps of hybrid pelvic floor reconstruction using a partially resorbable ligature delivery system for axial fixation of pelvic floor structures. A – the bladder was dissected along the anterior vaginal wall, the left sacrospinal ligament was dissected, and the implant was inserted through the sacrospinal ligament using the trocar method with access to the buttock skin. Б – the implant was fixed with 3 non-absorbable separate knotted sutures using Ftorex 2-0 suture in the area of the cervical fibrous ring. В – anterior colporrhaphy was performed with corset sutures using absorbable sutures PGA 2-0. Г – final view of the anterior vaginal wall after continuous suturing of the mucosa with absorbable suture PGA 0 and primary positioning of the implant
В послеоперационном периоде у 1 пациентки (3,3%) развился полный рецидив ПТО на сроке 3 месяца, требующий повторной хирургической реконструкции тазового дна. Пациентке была выполнена гибридная хирургическая реконструкция тазового дна с применением полипропиленового импланта Урослинг-1 (ООО «Линтекс», Санкт-Петербург). У 3 пациенток (10%) развился рецидив цистоцеле (Ва 0 по системе POP-Q), однако клинические симптомы отсутствовали. Анатомические результаты лечения согласно классификации POP-Q описаны в таблице 3. У 1 пациентки (3,3%) появились симптомы недержания мочи при напряжении de novo, которое потребовало впослед ствии имплантации субуретрального слинга. Оценка качества жизни в до и послеоперационном периоде представлена в таблице 4. 1 пациентка отказалась заполнять опросники в послеоперационном периоде, несмотря на положительный анатомический результат.
Таблица 3. Точки POP-Q до и после операции
Table 3. POP-Q points before and after surgery
| POP-Q | До операции/Before surgery (n=30) Ме, Q1; Q3 | 12 месяцев/ 12 months (n=30) Me, Q1; Q3 | p |
|---|---|---|---|
| Аа | 1,00 (0,00; 1,00) | -3,00 (-3,0; -1,00) | <0,001 |
| Ba | 2,50 (1,00; 3,00) | -3,00 (-3,00; -1,00) | <0,001 |
| C | 0,00 (-1,00; 2,25) | -7,00 (-8,00; -6,00) | <0,001 |
| Аp | 0,00 (-1,0; 0,00) | -2,50 (-3,00; -2,00) | <0,001 |
| Bp | 0,00 (-0,25; 1,25) | -2,50 (-3,00; -2,00) | <0,001 |
| Gh | 5,00 (4,00; 5,00) | 3,00 (3,50; 4,00) | <0,001 |
| Pb | 3,00 (2,50; 3,00) | 3,00 (3,50; 4,00) | <0,001 |
Примечания: * критерий знаковых рангов Вилкоксона / Note: * Wilcoxon signed-rank test was applied
Таблица 4. Доперационные и послеоперационные данные о качестве жизни по данным различнных попрсников и ВАШ
Table 4. Preoperative and postoperative quality of life data according to various questionnaires and VAS
| Опросник Questionnaire | До операции / Before surgery (n=29) Ме, Q1; Q3 |
После оперции / After surgery (n=29) Me, Q1; Q3 |
p |
|---|---|---|---|
| POPDI-6 | 41,67 (33,33; 56,25) | 0,00 (0,00; 8,33) | <0,001 |
| CRADI-8 | 25,00 (15,63; 39,07) | 0,00 (0,00; 14,06) | <0,001 |
| UDI-6 | 25,00 (6,25; 54,17) | 0,00 (0,00; 16,67) | <0,001 |
| PFDI-20 | 87,50 (59,90; 146,88) | 8,33 (0,00; 34,90) | <0,001 |
| ICIQ-SF | 5,00 (0,00; 10,00) | 1,00 (1,00; 8,50) | 0,426 |
| ВАШ внизу живота VAS lower abdomen |
1,00 (0,00; 2,00) | 1,00 (1,00; 1,00) | 0,474 |
| ВАШ поясницы VAS lower back |
3,00 (0,50; 5,00) | 2,00 (1,00; 4,00) | 0,128 |
| IMPSS | 5,00 (5,00; 5,00) | ||
| PGI-I | 1,00 (1,00; 1,00) |
Примечания: * критерий знаковых рангов Вилкоксона / Note: * Wilcoxon signed-rank test was applied
Результаты МРТ исследования
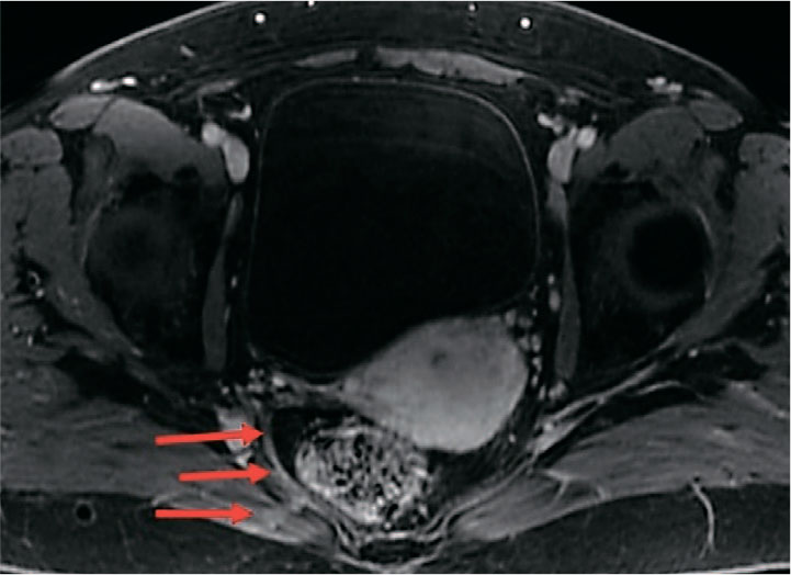
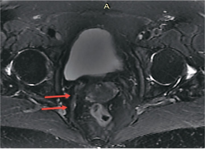
При выполнении МРТ органов малого таза с внутривенным контрастированием препаратом гадолиния спустя более 180 дней после оперативного вмешательства нити импланта с сформированным рубцом дифференцируется как тяж диаметром до 3-5 мм, следующий от сакроспинальной связки до шейки матки, без признаков отека на Т2-ВИ с подавлением сигнала от жира, с отчетливым равномерным накоплением контрастного препарата в позднюю венозную фазу, что характерно для рубцовой ткани (рис. 3-5).
ОБСУЖДЕНИЕ
Ранее было доказано, что количество применяемого синтетического материала напрямую влияет на риск развития имплант-ассоциированных осложнений. Так при сравнении различных нерезорбируемых имплантов в эксперименте на животных было установлено, что увеличение площади сетчатого импланта напрямую влияет на реактивность воспаления и, как следствие, на риск эрозии и чрезмерного фиброзирования [15, 16].
Помимо этого известно, что протезирующая хирургия пролапса тазовых органов начиналась с многорукавных имплантов, которые были направлены на формирование «кокона» для влагалища, к таким имплантам относились системы Prolift, Apogee и Perigee [17]. Однако такой подход в итоге привел к многочисленным сообщениям об осложнениях протезирующей хирургии ПТО, что в итоге привело к частичному запрету в ряде стран [5]. Согласно данным нашего исследования, применение частично резорбируемой системы доставки лигатур не вызвало развития эрозии импланта и хронической тазовой боли на сроке наблюдения 12 месяцев без компромиссов для анатомической эффективности. Согласно данным POP-Q, отмечено статистически значимое улучшение во всех компартментах тазового дна (p<0,001). Анатомической эффективности в апикальном компартменте удалось достичь в 96,7% случаев. Частично резорбируемая система доставки лигатур была разработана для коррекции апикального пролапса и полученные в исследовании данные свидетельствуют о том, что применение такого типа имплантов не уступает в анатомической эффективности коррекции апикального пролапса полноразмерным полипропиленовым имплантам [18]. Несмотря на 10% частоту рецидива цистоцеле, пациентки не отмечали значимых клинических жалоб, и данный процент соответствует международным данным [18]. Важно отметить, что пациентки, включенные в исследование, изначально имели высокий риск рецидива ПТО: все пациентки были в менопаузе, 76,6% пациенток имели высокий индекс массы тела или ожирение, 63,3% пациенток оценивали свою физическую активность как низкую, а 90% пациенток не занимались спортом. Несмотря на описанные факторы риска, процент рецидива в апикальном компартменте был низким (3,3%). Технология коррекции ПТО путем унилатеральной имплантации сетчатого импланта зарекомендовала себя как эффективный метод коррекции ПТО [19]. Важным аспектом является то, что применение нового поколения импланта не усложняет методику гибридной реконструкции тазового дна: об этом может свидетельствовать среднее время оперативного вмешательства, которое составило 59 ± 25,7 минут.

Рис. 3. Пациентка Б. 56 лет. МРТ органов малого таза. Т1-ВИ с подавлением сигнала от жира после внутривенного контрастирования – поздняя венозная фаза. Рубец на уровне импланта справа отчетливо равномерно накапливает контрастный препарат (стрелки)
Fig. 3. Patient B, 56 years old. MRI of the pelvic organs T1-VI with signal suppression from fat after intravenous contrast late venous phase. The scar at the level of the implant on the right side clearly uniformly accumulates contrast agent (arrows)

Рис. 4. Пациентка Г. 72 года. МРТ органов малого таза. Т1-ВИ с подавлением сигнала от жира после внутривенного контрастирования – поздняя венозная фаза. Рубец на уровне импланта справа отчетливо равномерно накапливает контрастный препарат (стрелки)
Fig. 4. Patient G, 72 years old. MRI of the pelvic organs. T1-VI with fat signal suppression after intravenous contrast late venous phase. The scar at the level of the implant on the right side clearly uniformly accumulates contrast agent (arrows))

Рис. 5. Пациентка Г. 72 года. МРТ органов малого таза. Т2-ВИ с подавлением сигнала от жира. Имплант с формированной капсулой прослеживается отчетливо, без признаков отека, с изоинтенсивным сигналом (стрелки)
Fig. 5. Patient G, 72 years old. MRI of the pelvic organs. T2-VI with fat signal suppression. The implant with the formed capsule is clearly traceable, without signs of edema, with isointense signal (arrows)
Ближайшим аналогом разработанной системы доставки лигатур является имплант Vypro II, в состав которого входит в равных пропорциях резорбируемый полиглактин 910 и мультифиламентные нити полипропилена. Однако после деградации полиглактина остается тот же нерезорбируемый полипропиленовый сетчатый имплант, характеризующийся ранее описанными осложнениями, в частности, высоким процентом эрозии, который достигал 10,7% [20]. В нашем исследовании применялся имплант, представленный непереплетенными нитями полипропилена и резорбируемой частью в виде полиглекапрона. Такое сочетание позволило сохранить удобство имплантации, однако после срока резорбции полипропилен остается в тканях в виде непереплетенных отдельно лежащих нитей, лишаясь недостатков сетчатого импланта, что было доказано в нашем исследовании.
В свою очередь, субъективная оценка качества жизни продемонстрировала значительное улучшение показателей после хирургического лечения. Согласно субшкалам POPDI-6, CRADI-8 и UDI-6 опросника PFDI-20, наблюдалось статистически значимое снижение выраженности симптомов, связанных с пролапсом тазовых органов (p<0,001). Средние показатели по шкале ICIQ-SF в послеоперационном периоде также улучшились, однако различия не достигли статистической значимости (p=0,426). Также пациентки отмечали высокую удовлетворенность лечением согласно шкалам IMPSS и PGI-I. Согласно шкале ВАШ достоверных различий между преди послеоперационными значениями выявлено не было. Это может быть обусловлено индивидуальными особенностями пациентов и сложностью субъективного восприятия боли.
Дополнительные данные, полученные при МРТ органов малого таза с контрастированием, подтвердили отсутствие признаков выраженной воспалительной реакции или хронического отека в зоне имплантации, что свидетельствует о хорошей биосовместимости частично резорбируемого материала, что также ранее было продемонстрировано в экспериментальном исследовании. Визуализация импланта позволила зафиксировать его интеграцию в ткани тазового дна и замещение резорбируемого компонента соединительнотканными структурами. Данный факт позволяет утверждать, что количество нерезорбируемого компонента достаточно для поддержания сформированной соединительнотканной неосвязки.
Несмотря на положительные результаты, представленное исследование имеет ряд ограничений, которые необходимо учитывать при интерпретации полученных данных и их применении в клинической практике. Ввиду пилотного дизайна, исследование включало ограниченное число пациенток, что снижает статистическую мощность анализа и затрудняет экстраполяцию результатов на более широкую популяцию женщин с ПТО. Также срок наблюдения составил 12 месяцев, что не позволяет в полной мере оценить долгосрочную эффективность. Помимо этого, в данном исследовании отсутствовала контрольная группа, что делает необходимым проведение рандомизированных сравнительных исследований.
ВЫВОДЫ
Унилатеральная гибридная хирургическая реконструкция тазового дна с применением частично резорбируемой системы доставки лигатур является безопасным и эффективным методом коррекции ПТО, значимо улучшающим качество жизни пациенток.
ЛИТЕРАТУРА
- Jelovsek JE, Maher C, Barber MD. Pelvic organ prolapse. Lancet 2007;369(9566):1027-38. https://doi.org/10.1016/S0140-6736(07)60462-0.
- Dwyer L, Kearney R. Conservative management of pelvic organ prolapse. Obstetrics, Gynaecology & Reproductive Medicine 2021;31(2):35-41. https://doi.org/10.1016/j.ogrm.2020.12.003.
- DeLancey JO. The hidden epidemic of pelvic floor dysfunction: achievable goals for improved prevention and treatment. Am J Obstet Gynecol 2005;192(5):1488-95. https://doi.org/10.1016/j.ajog.2005.02.028.
- Seifalian A, Basma Z, Digesu A, Khullar V. Polypropylene Pelvic Mesh: What Went Wrong and What Will Be of the Future? Biomedicines 2023;11(3):741. https://doi.org/10.3390/biomedicines11030741.
- Шахалиев Р.А., Шульгин А.С., Кубин Н.Д., Кузьмина И.Н., Сучков Д.А., Шкарупа Д.Д. Современное состояние проблемы применения трансвагинальных сетчатых имплантов в хирургическом лечении стрессового недержания мочи и пролапса тазовых органов. Гинекология 2022;24(3):174-80. [Shakhaliev R.A., Shulgin A.S., Kubin N.D., Kuzmina I.N., Suchkov D.A., Shkarupa D.D. Current status of transvaginal mesh implants use in the surgical treatment of stress urinary incontinence and pelvic prolapse. Gynekologia = Gynecology 2022;24(3):174-80. (In Russian)]. https://doi.org/10.26442/20795696.2022.3.201423.
- Ganj FA, Ibeanu OA, Bedestani A, Nolan TE, Chesson RR. Complications of transvaginal monofilament polypropylene mesh in pelvic organ prolapse repair. Int Urogynecol J Pelvic loor Dysfunct 2009;20(8):919-25. https://doi.org/10.1007/s00192-009-0879-9.
- Shah HN, Badlani GH. Mesh complications in female pelvic floor reconstructive surgery and their management: A systematic review. Indian J Urol 2012;28(2):129-53. https://doi.org/10.4103/0970-1591.98453.
- Abed H, Rahn DD, Lowenstein L, Balk EM, Clemons JL, Rogers RG; Systematic Review Group of the Society of Gynecologic Surgeons. Incidence and management of graft erosion, wound granulation, and dyspareunia following vaginal prolapse repair with graft materials: a systematic review. Int Urogynecol J 2011;22(7):789-98. https://doi.org/10.1007/s00192-011-1384-5.
- Smith FJ, Holman CD, Moorin RE, Tsokos N. Lifetime risk of undergoing surgery for pelvic organ prolapse. Obstet Gynecol 2010;116(5):1096-100. https://doi.org/10.1097/AOG.0b013e3181f73729.
- Шкарупа Д.Д., Шахалиев Р.А., Шульгин А.С., Филипенко Т.С., Кубин Н.Д., Лабетов И.А. Сравнение патоморфологических свойств нерезорбируемого и частично резорбируемых имплантов для реконструктивной хирургии пролапса тазовых органов и стрессового недержания мочи: экспериментальное исследование. Вестник урологии 2024;12(5):63-73. [Shkarupa D.D., Shakhaliev R.A., Shulgin A.S., Filipenko T.S., Kubin N.D., Labetov I.A. Comparison of pathomorphologic properties of nonresorbable and partially resorbable implants for reconstructive surgery of pelvic organ prolapse and stress urinary incontinence: an animal model study. Vestik urologii = Urology Herald 2024;12(5):63-73. (In Russian)]. https://doi.org/10.21886/2308-6424-2024-12-5-63-73.
- Шкарупа Д.Д., Шахалиев Р.А., Шульгин А.С., Филипенко Т.С., Кубин Н.Д., Лабетов И.А., Сучков Д.А. Сравнение биомеханических свойств нерезорбируемого и частично резорбируемых сетчатых имплантов, используемых при хирургии недержания мочи и пролапса гениталий (экспериментальное исследование). Вестник урологии 2023;11(1):116-124. [Shkarupa D.D., Shakhaliev R.A., Shulgin A.S., Filipenko T.S., Kubin N.D., Labetov I.A., Suchkov D.A. Сomparison of biomechanical properties of non-absorbable and partially absorbable mesh implants used in surgery for urinary incontinence and genital prolapse: experimental study. Vestik urologii = Urology Herald 2023;11(1):116-124. (In Russian)]. https://doi.org/10.21886/2308-6424-2023-11-1-116-124.
- Шкарупа Д.Д., Шахалиев Р.А., Шульгин А.С., Филипенко Т.С., Кубин Н.Д., Сучков Д.А., Шкарупа О.А. Разработка нового поколения синтетических имплантов для хирургической коррекции пролапса тазовых органов и стрессового недержания мочи. Вестник урологии 2022;10(4):109-19. [Shkarupa D.D., Shakhaliev R.A., Shulgin A.S., Filipenko T.S., Kubin N.D., Suchkov D.A., Shkarupa O.A. New-generation synthetic implants for the surgical correction of pelvic organ prolapse and stress urinary incontinence: design and testing. Vestnik Urologii = Urology Herald 2022;10(4):109-119. (In Russian)]. https://doi.org/10.21886/2308-6424-2022-10-4-109-119.
- Сучков Д.А., Шахалиев Р.А., Шульгин А.С., Кубин Н.Д., Некласова С.В., Савельева Т.В., Шкарупа Д.Д. Унилатеральная гибридная хирургическая реконструкция тазового дна. Модифицированная лоскутная методика. Вопросы гинекологии, акушерства и перинатологии 2024;23(1):16-23. [Suchkov D.A., Shakhaliev R.A., Shulgin A.S., Kubin N.D., Neklasova S.V., Savelyeva T.V., Shkarupa D.D. Unilateral hybrid pelvic floor surgical reconstruction. Modified flap technique. Voprosi ginekoloii. Akusherstva i perinatologii = Gynecology, Obstetrics and Perinatology 2024;23(1):16–23. (In Russian)]. https://doi.org/10.21886/10.20953/1726-1678-2024-1-16-23.
- Shkarupa D, Kubin N, Shapovalova E, Zaytseva A. The resurrection of sacrospinous fixation: unilateral apical sling hysteropexy. Int Urogynecol J 2020;31(2):351-357. https://doi.org/10.1007/s00192-019-03964-3.
- Brown BN, Mani D, Nolfi AL, Liang R, Abramowitch SD, Moalli PA. Characterization of the host inflammatory response following implantation of prolapse mesh in rhesus macaque. Am J Obstet Gynecol 2015;213(5):668.e1-10. https://doi.org/10.1016/j.ajog.2015.08.002.
- Liang R, Abramowitch S, Knight K, Palcsey S, Nolfi A, Feola A, et al. Vaginal degeneration following implantation of synthetic mesh with increased stiffness. BJOG 2013;120(2):233-43. https://doi.org/10.1111/1471-0528.12085.
- Moore RD, Miklos JR. Vaginal mesh kits for pelvic organ prolapse, friend or foe: A comprehensive review. ScientificWorldJournal 2009;9:163-89. https://doi.org/10.1100/tsw.2009.19.
- Yeung E, Baessler K, Christmann-Schmid C, Haya N, Chen Z, Wallace SA, et al. Transvaginal mesh or grafts or native tissue repair for vaginal prolapse. Cochrane Database Syst Rev 2024;3(3):CD012079. https://doi.org/10.1002/14651858.CD012079.pub2.
- Шкарупа Д.Д., Кубин Н.Д., Шульгин А.С., Ковалев Г.В., Лабетов И.А., Шахалиев Р.А. Хирургия пролапса тазовых органов вагинальным доступом в специализированном центре: эволюция имплантов от "XL до XS". Урология 2023;(1):34-40. [Shkarupa D.D., Kubin N.D., Shulgin A.S., Kovalev G.V., Labetov I.A., Shakhaliev R.A. Vaginal access pelvic organ prolapse repair at the high-volume center: evolution of implants from "XL TO XS". Urologiya = Urologiia 2023;(1):34-40. (In Ruussian)]. https://doi.org/10.18565/urology.2023.1.34-40.
- El Haddad R, Martan A, Masata J, Svabík K, Koleska T. Long-term review on posterior colporrhaphy with levator ani muscles plication and incorporating a Vypro II mesh. Ceska Gynekol 2009;74(4):282-5. (In Czech).

